症例詳細
Case detail
PMTCで見た目を綺麗に
治療症例の内容
- 診療科目
- 治療カテゴリ
- 患者様
- 20代男性
- 治療期間
- 1日
- 治療計画
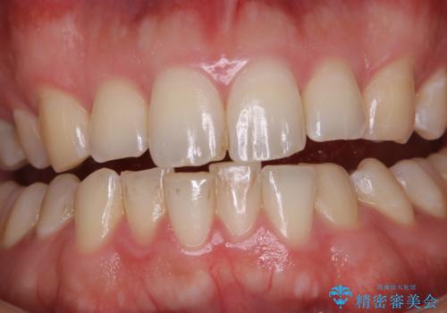
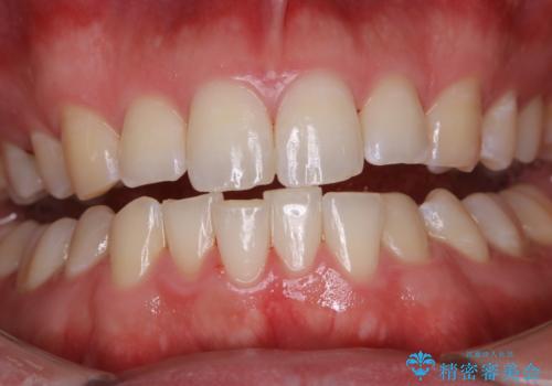
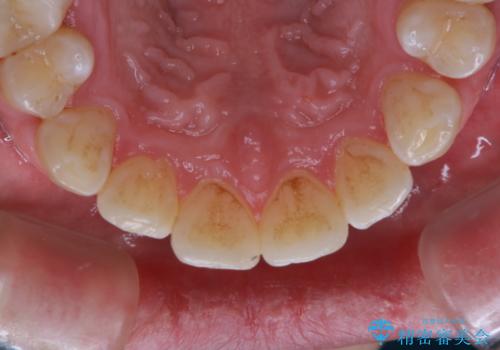
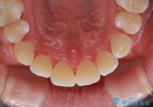
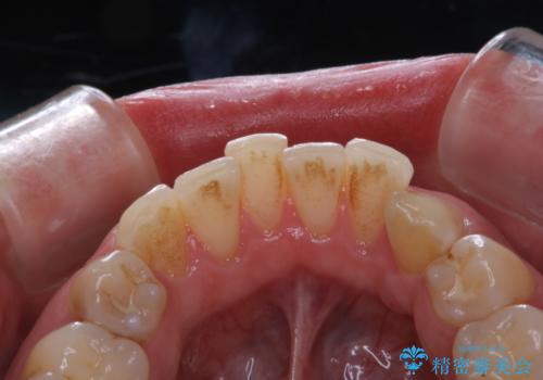
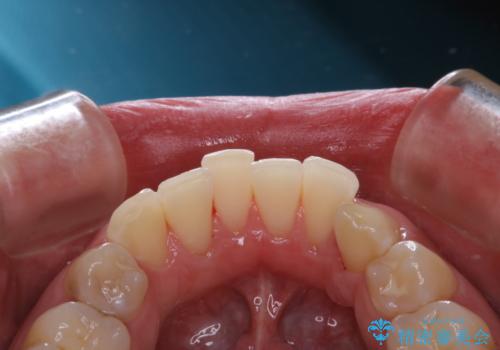
- 歯磨きをしても取れない汚れが気になるとのことで来院されました。PMTC60分コースを行いました。
- 費用(概算)
- 1万円+TAX費用は治療当時の料金となります
治療について
着色や歯石は歯みがきで落とすことはできません。誤ったセルフケアを行うと、逆に歯の表面を傷つけてしまったり、トラブルを起こすこともあります。
着色や歯石が付着したままだと、居心地のよくなった細菌たちが口の中の栄養をたっぷり摂ってさらに付着しやすい状態となります。
歯周病やむし歯にならないように、定期的にプロフェッショナルケアを受け、お口の清潔を保つことが大切です。
担当歯科衛生士
表参道しらゆり歯科 DH西澤
PMTCの注意事項(リスク・副作用など)
- 歯を白くする目的の施術ではありません
- 保険適用外となります
当サイトの内容、テキスト、画像等の無断転載、複製、複写、盗用を固く禁じます。








