症例詳細
Case detail
PMTCで歯周病予防
治療症例の内容
- 診療科目
- 治療カテゴリ
- 患者様
- 30代男性
- 治療期間
- 1日
- 治療計画
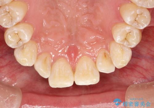
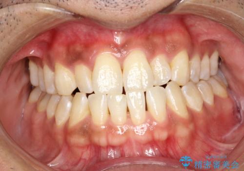
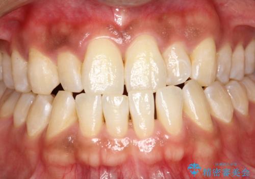
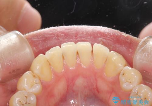
- 歯磨きの際に出血したり、口臭も気になるとのことで来院されました。PMTC30分コースにてクリーニングを行いました。
- 費用(概算)
- 5千円+tax費用は治療当時の料金となります
治療について
歯磨きの際の出血、お口の中の違和感・変化などを放置していると、のちに歯を失ってしまう原因になることもあります。
歯周病の原因は、口の中に棲む歯周菌です。歯周病菌や歯周病菌の出す毒素が引き起こす炎症によって歯茎が腫れ、歯を支えるセメント質、歯槽骨や歯根膜が破壊されて、ついには支えを失った歯が抜けてしまうという怖い病気です。
セルフケアだけでは、歯周病を治したり予防したりすることは困難です。
歯科医院で定期的にクリーニングを行い、歯石除去や細菌に汚染された歯根面の掃除が必要になります。
担当歯科衛生士
表参道しらゆり歯科 DH西澤
PMTCの注意事項(リスク・副作用など)
- 歯を白くする目的の施術ではありません
- 保険適用外となります
当サイトの内容、テキスト、画像等の無断転載、複製、複写、盗用を固く禁じます。








