症例詳細
Case detail
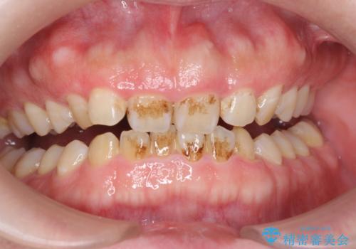
歯の着色をPMTCで、きれいにして口元爽やかに!
治療症例の内容
- 診療科目
- 治療カテゴリ
- 患者様
- 30代男性
- 治療期間
- 1日
- 治療回数
- 1回
- 治療計画
- コーヒーを毎日飲む習慣があり、歯の表面についた着色を取りたいと来院されました。前歯に主に着色が付着していたのでPMTC(歯科医院での専門的なクリーニング)30分コースをおすすめしました。
- 費用(概算)
- 5000円(税別)30分費用は治療当時の料金となります
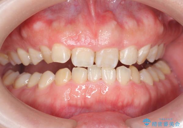
PMTC(歯科医院での専門的なクリーニング)
歯の表面が白くなり口元が明るくなって印象が変わったと大変喜んでいただけました。
PMTCは着色を落とすだけでなく歯の表面がつるつるになるため、汚れがつきにくくなる効果もあるので虫歯予防にもなり、おすすめです。
担当歯科衛生士
横浜桜木町歯科 DH進藤
PMTCの注意事項(リスク・副作用など)
- 歯を白くする目的の施術ではありません
- 保険適用外となります
当サイトの内容、テキスト、画像等の無断転載、複製、複写、盗用を固く禁じます。


