症例詳細
Case detail
インプラントオーバーデンチャー 咬合平面の改善
治療症例の内容
- 診療科目
- 担当医
- 患者様
- 70代女性
- 治療期間
- 1年2ヶ月
- 治療回数
- 5-10回
- 治療計画
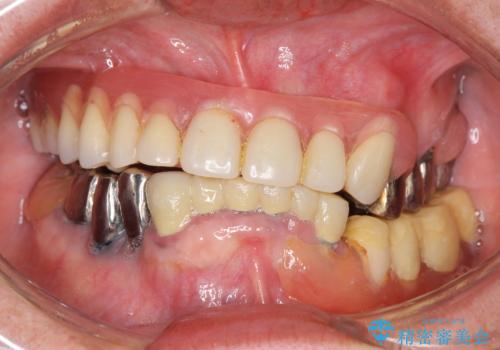
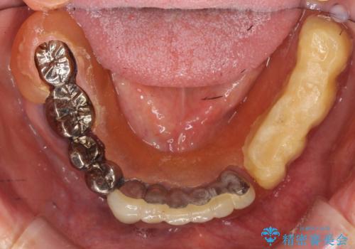
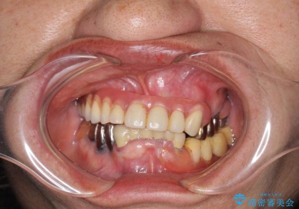
- 他院にて入れ歯を入れたが全体的に左に傾いており、咬みにくく、見た目も気になるといらっしゃった方の症例です。
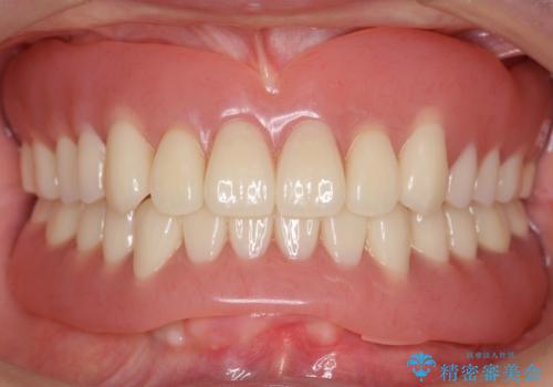
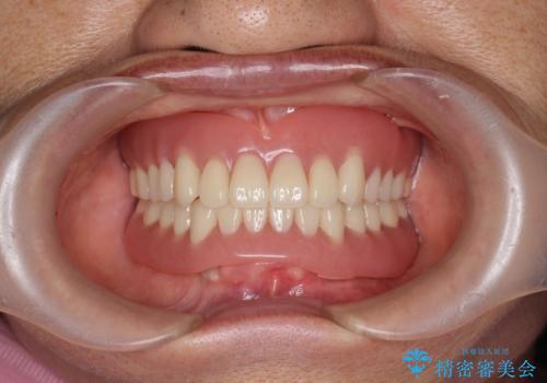
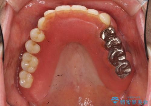
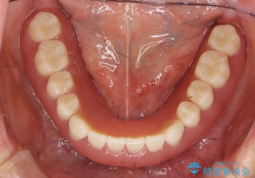
診査の結果、虫歯が進行し保存できない歯が多かったため抜歯し、磁性アタッチメントを用いたインプラントオーバーデンチャーによる咬合及び見た目の改善を行いました。
- 費用(概算)
- ¥3,000,000費用は治療当時の料金となります
ストローマンについて
当院では主にストローマンという種類のインプラントを治療に用いています。
ストローマンは世界的にもNo1のシェアを誇り、骨との適合にも優れたインプラントです。
磁性アタッチメントについて
磁性アタッチメントとは残っている歯根またはインプラントに磁性金属を埋め込み、入れ歯の裏側(歯肉に触れる側)に小さい磁石を埋め込んで固定させる入れ歯(義歯)のことです。土台となる歯やインプラントに無理な負荷をかけず、磁力によって強力に密着するため、ぐらついたり、ズレたりすることはありません。また総入れ歯だけでなく部分入れ歯にも使用できます。
入れ歯の注意事項(リスク・副作用など)
- ブリッジやインプラントと比較して、色が合いづらい、見た目の違和感があります
- ブリッジやインプラントと比較して、話しにくい、舌が当たる等の違和感があります
- 慣れるまで微調整で何度か通って頂くことがあります
- 就寝時や食後に毎回取り外して、清掃する必要があります
- 自費診療(保険適用外)となります
インプラント治療の注意事項(リスク・副作用など)
- 外科手術のため、術後に痛みや腫れ、違和感を伴います
- メンテナンスを怠ったり喫煙により、お口の中に大きな悪影響を及ぼすインプラント周囲炎等にかかる可能性があります
- 糖尿病、肝硬変、心臓病等の場合、インプラント治療ができない可能性があります
- 高血圧、貧血・不整脈等の場合、インプラント治療後に治癒不全を招く可能性があります
- 自費診療(保険適用外治療)となります
当サイトの内容、テキスト、画像等の無断転載、複製、複写、盗用を固く禁じます。













