症例詳細
Case detail
オフィスホワイトニング エクセレント
治療症例の内容
- 診療科目
- 治療カテゴリ
- 患者様
- 30代男性
- 治療期間
- 1日
- 治療回数
- 1回
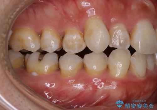
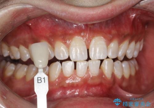
- 治療計画
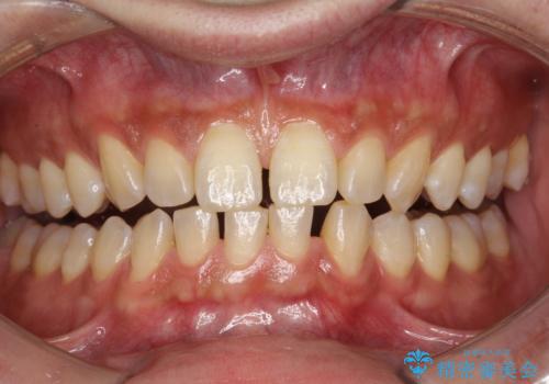
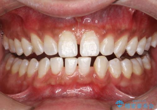
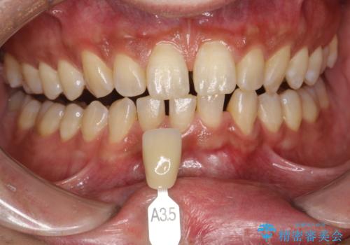
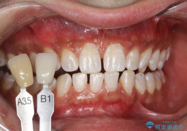
- ホワイトニングで、できる限り白くしたいとのことで来院されました。処置前クリーニング(¥3,300)・エクセレントホワイトニング(¥29,700)・トリートメント(¥550)を行いました。
- 費用(概算)
- ¥33,550 (税込)費用は治療当時の料金となります
治療について
ホワイトニング剤に含まれる過酸化水素・過酸化尿素には、歯を痛めることなく内部の色素を分解する力があります。ホワイトニング剤を塗布することで、より深いところの色素まで分解し、白くすることができます。
さらに白さを目指す場合は、デュアルホワイトニングを行うことがより効果が期待できます。
オフィスホワイトニングとホームホワイトニングの違い
(オフィスホワイトニング)
・歯科医院にて行う
・施術時間約60分~90分
・一回で効果がでる
・ホワイトニング剤を塗り、光を照射してホワイトニング効果を促進させる
(ホームホワイトニング)
・自宅で行う
・2週間続けて行い、徐々に白くしていく
・専用のマウスピースを作成し、そこにホワイトニングジェルを注入して装着する
・時間をかけて薬剤を深く浸透させるので、効果が高い
・オフィスホワイトニングよりも白さが持続する
デュアルホワイトニングとは
オフィスホワイトニングとホームホワイトニングを併用して行う方法です。
それぞれのホワイトニングを単体で行うよりも、短時間で、白さアップが期待できます。効果も長持ちしやすいと言われています
担当歯科衛生士
表参道しらゆり歯科 DH 西澤
ホワイトニングの注意事項(リスク・副作用など)
- 知覚過敏が出ることがあります
- ホワイトバンドや白い斑点が出ることがあります
- クラウンやインレー等の補綴物には効果がありません
- ホワイトニングによる効果や持続期間には個人差があります
- 歯牙の状態によっては適応できないことがあります
- 保険適用外となります
当サイトの内容、テキスト、画像等の無断転載、複製、複写、盗用を固く禁じます。




