症例詳細
Case detail
矯正治療開始前のPMTC
治療症例の内容
- 診療科目
- 治療カテゴリ
- 患者様
- 20代女性
- 治療期間
- 1日
- 治療回数
- 1回
- 治療計画
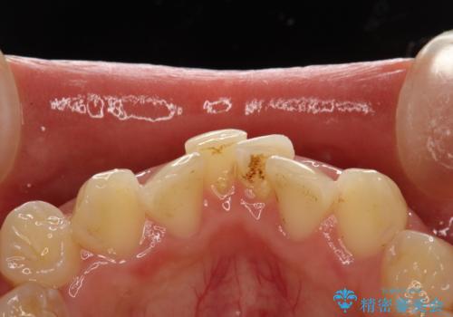
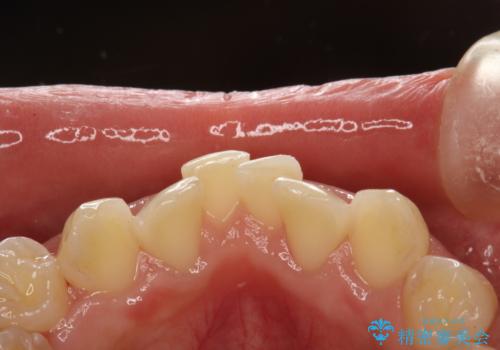
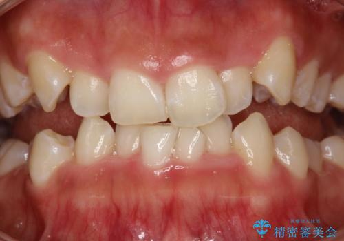
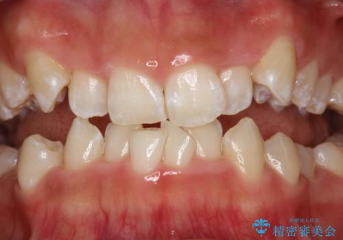
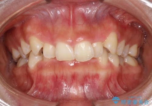
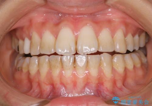
- 矯正治療前にステインを取りたいとのことで来院されました。ステインは前歯のみだったため、PMTC30分コースを行いました。
- 費用(概算)
- 5千円+tax費用は治療当時の料金となります
治療について
PMTCとは、歯科の専門家が器械を使用して行う歯のクリーニングのことです。普段の歯磨きでは取り切れない溝、キワなどの細かい部分も徹底的に除去します。ステインや歯石などが付着したままだと、虫歯や歯周病の発見がしずらいことがあります。特に矯正治療前には、念入りな虫歯や歯周病チェックが必要なため、PMTCでしっかりと汚れを除去しておくことが大切です。
担当歯科衛生士
表参道しらゆり歯科 DH西澤
PMTCの注意事項(リスク・副作用など)
- 歯を白くする目的の施術ではありません
- 保険適用外となります
当サイトの内容、テキスト、画像等の無断転載、複製、複写、盗用を固く禁じます。








