症例詳細
Case detail
お口のさっぱり感とツルツル感をPMTCで
治療症例の内容
- 診療科目
- 治療カテゴリ
- 患者様
- 30代女性
- 治療期間
- 1日
- 治療回数
- 1回
- 治療計画
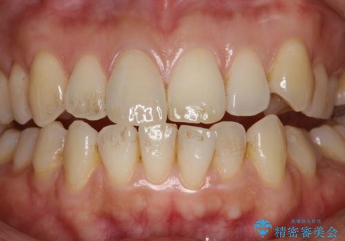
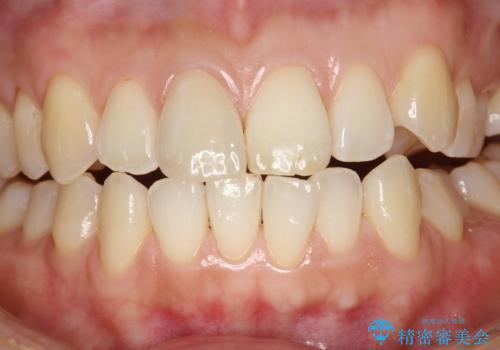
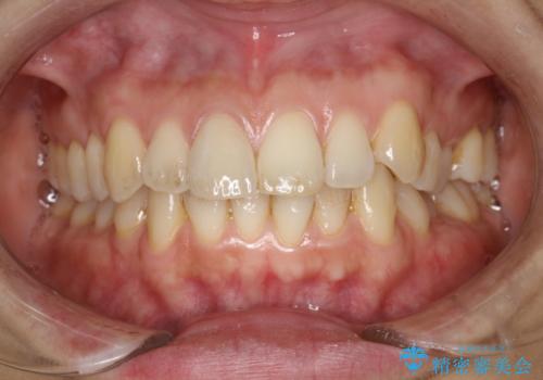
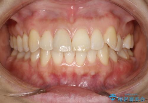
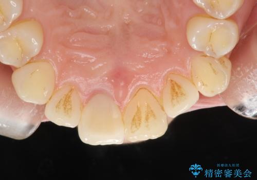
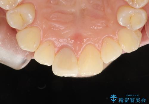
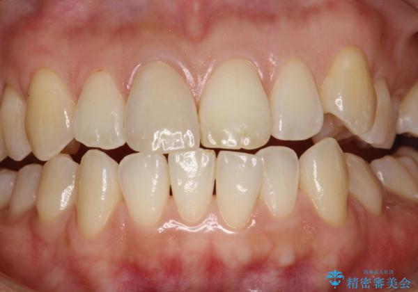
- 着色も気になるし、歯磨きだけではなんとなくお口の中がスッキリしないとのことで来院されました。PMTC60分コースを行い全体的にクリーニングを行いました。
- 費用(概算)
- 1万円+tax費用は治療当時の料金となります
治療について
PMTCでは隅々までスッキリとプラークを取り除くため、施術後に舌でさわると歯の表面がツルツルします。これがプラークがしっかり落ちた、お口本来の感触です。この感触、気持ちよさを記憶しておくと毎日のホームケアでの磨き足りない部分の発見につながります。
お口の中のスッキリとした爽快感を実感できるのが、PMTCのメリットでもあります。
担当歯科衛生士
表参道しらゆり歯科 DH西澤
PMTCの注意事項(リスク・副作用など)
- 歯を白くする目的の施術ではありません
- 保険適用外となります
当サイトの内容、テキスト、画像等の無断転載、複製、複写、盗用を固く禁じます。






