症例詳細
Case detail
PMTCでお口のメンテナンス
治療症例の内容
- 診療科目
- 治療カテゴリ
- 患者様
- 40代男性
- 治療期間
- 1日
- 治療回数
- 1回
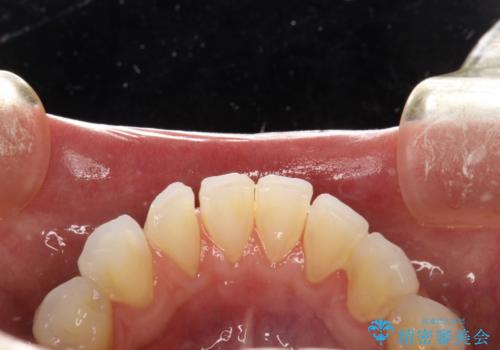
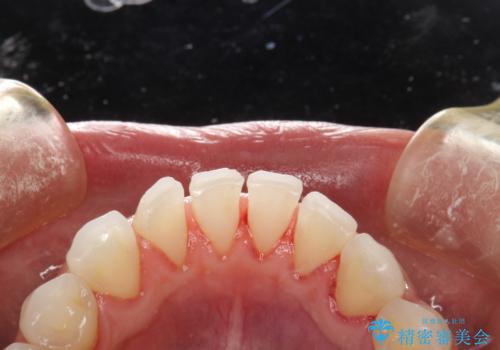
- 治療計画
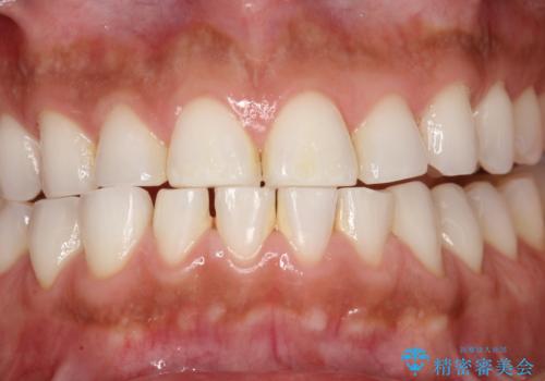
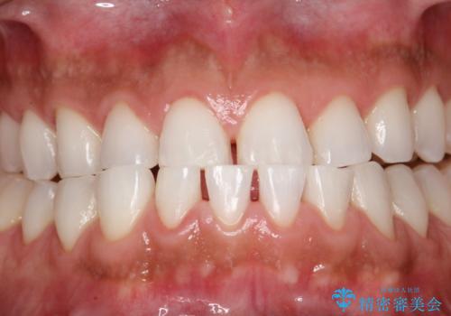
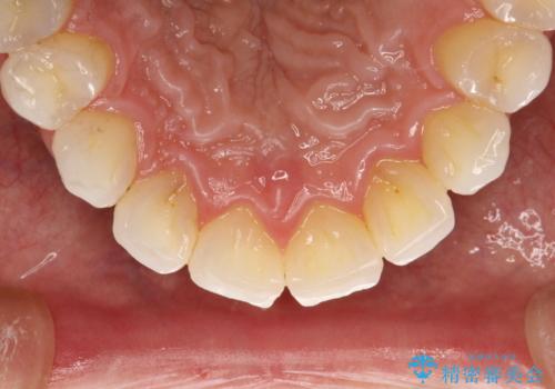
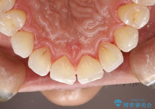
- 痛みや特に気になるところはないが、しっかりとクリーニングしてほしいとのことで来院された患者様です。PMTC 30分コースでのメンテナンスを行いました。
- 費用(概算)
- 5千円+tax費用は治療当時の料金となります
治療について
歯を長持ちさせるために、1番の対策が、PMTC を定期的に行うことです。虫歯や歯周病の予防・再発の予防などと、患者様の歯の健康を保つためプロフェッショナルクリーニングを行っています。
痛みや症状が無くても、歯科医院にて専門的なクリーニングを行うことが大切です。
担当歯科衛生士
表参道しらゆり歯科 DH西澤
PMTCの注意事項(リスク・副作用など)
- 歯を白くする目的の施術ではありません
- 保険適用外となります
当サイトの内容、テキスト、画像等の無断転載、複製、複写、盗用を固く禁じます。








