症例詳細
Case detail
invisalign矯正治療中のPMTC 歯のクリーニング
治療症例の内容
- 診療科目
- 治療カテゴリ
- 患者様
- 30代男性
- 治療期間
- 1日
- 治療回数
- 1回
- 治療計画
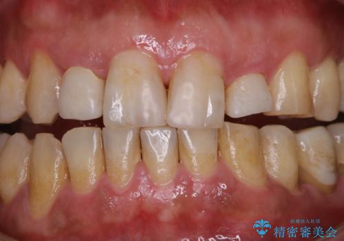
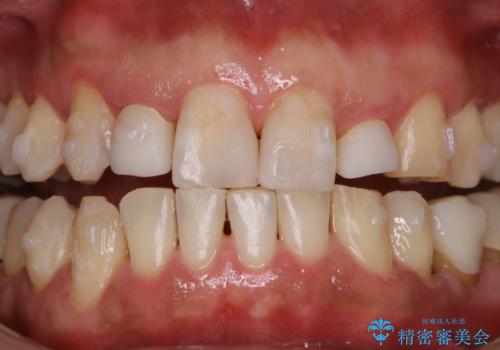
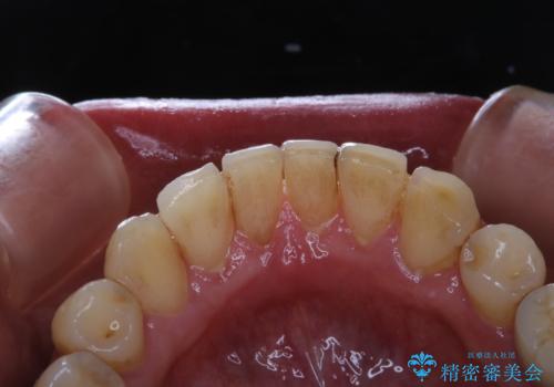
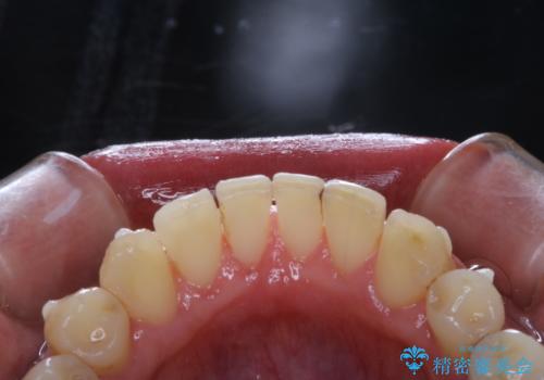
- インビザライン治療中に歯の着色が気になるとのことで来院されました。全体的に着色が付着していたのでPMTC60分コースを行いました。
- 費用(概算)
- 1万円+tax費用は治療当時の料金となります
治療について
インビザライン矯正治療中に、着色を付着したままにしていると、透明なインビザラインアライナーにも着色してしまうことがあります。
また、着色なのか、虫歯なのかの判別もしずらく正確にお口の中の状態を診断できません。矯正治療中も定期的に歯科医院にてPMTCを受けて、お口のケアを行うことをおすすめします。
担当歯科衛生士
表参道しらゆり歯科 DH西澤
PMTCの注意事項(リスク・副作用など)
- 歯を白くする目的の施術ではありません
- 保険適用外となります
当サイトの内容、テキスト、画像等の無断転載、複製、複写、盗用を固く禁じます。






