症例詳細
Case detail
PMTCとホワイトニング
治療症例の内容
- 診療科目
- 治療カテゴリ
- 患者様
- 30代女性
- 治療期間
- 1日
- 治療回数
- 1回
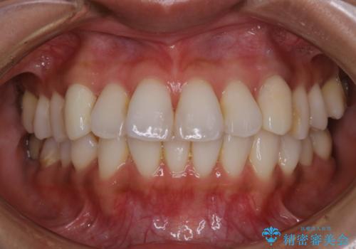
- 治療計画
- クリーニングをしてからホワイトニングしたいとのことでした。
PMTC30分コース(¥5,500)とオフィスホワイトニングのエクセレントコース(¥29,700)を行いました。
- 費用(概算)
- ¥35,200 (税込)費用は治療当時の料金となります
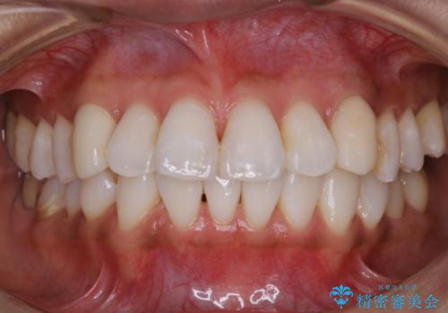
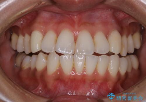
治療について
ホワイトニングの前にクリーニングを行い、まずはご自身本来の歯の表面にすることでホワイトニング剤が浸透しやすくなります。
処置をする前には、担当の歯科衛生士がお口の中の状態をしっかり確認します。その後にコースやクリーニングについて相談を行います。
しっかりご相談をしてから施術に入りますので、ご安心ください。
担当歯科衛生士
表参道しらゆり歯科 DH西澤
PMTCの注意事項(リスク・副作用など)
- 歯を白くする目的の施術ではありません
- 保険適用外となります
ホワイトニングの注意事項(リスク・副作用など)
- 知覚過敏が出ることがあります
- ホワイトバンドや白い斑点が出ることがあります
- クラウンやインレー等の補綴物には効果がありません
- ホワイトニングによる効果や持続期間には個人差があります
- 歯牙の状態によっては適応できないことがあります
- 保険適用外となります
当サイトの内容、テキスト、画像等の無断転載、複製、複写、盗用を固く禁じます。





