症例詳細
Case detail
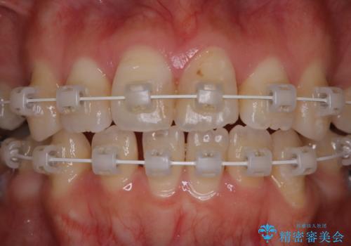
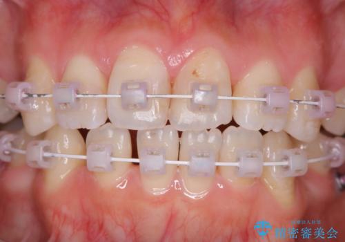
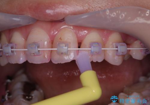
ワイヤー矯正中のPMTC
治療症例の内容
- 診療科目
- 治療カテゴリ
- 患者様
- 20代女性
- 治療期間
- 1日
- 治療回数
- 1回
- 治療計画
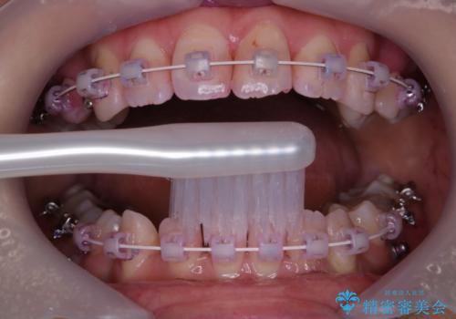
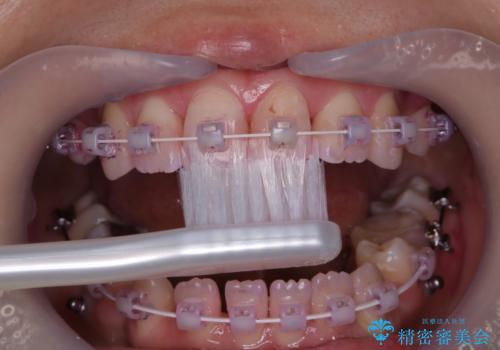
- ワイヤー矯正中のメンテナンスでPMTCを希望されました。染め出しを行い、歯ブラシ指導とPMTC30分コースを行いました。
- 費用(概算)
- 5千円+tax費用は治療当時の料金となります
治療について
毎日しっかりと磨いているようでも、装置の周りや歯と歯の間・歯と歯茎の間に磨き残しが残ってしまいます。そのため磨き残しをチェックする『染め出し剤』を使用すると明確に磨き残しを見ることができます。
染め出されている部分の磨き残しは、毎日の習慣として歯ブラシをしていてもいつも磨けてない部分です。
この部分をしっかりと磨けるようになると、虫歯や歯周病を予防することができます。
矯正中にも、虫歯や歯周病予防をしっかり行うことが大切です。
担当歯科衛生士
表参道しらゆり歯科 DH西澤
PMTCの注意事項(リスク・副作用など)
- 歯を白くする目的の施術ではありません
- 保険適用外となります
当サイトの内容、テキスト、画像等の無断転載、複製、複写、盗用を固く禁じます。















