症例詳細
Case detail
歯と歯の間の着色除去
治療症例の内容
- 診療科目
 
- 治療カテゴリ
 
- 患者様
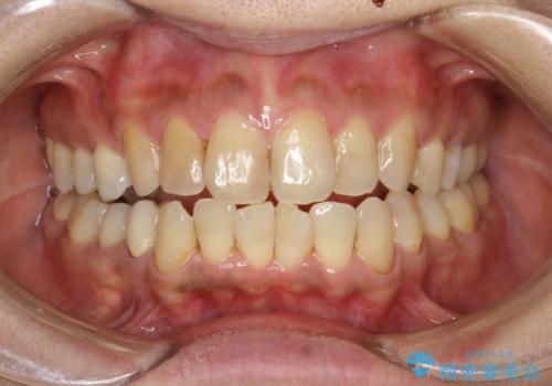
 - 30代女性
 
- 治療期間
 - 1日
 
- 治療回数
 - 1回
 
- 治療計画
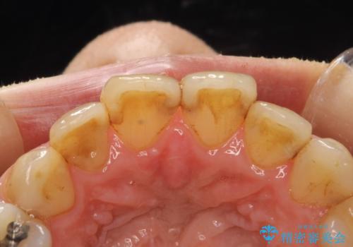
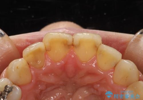
 - 着色が歯と歯の間や、詰め物との境目に多い患者様。
細かい部分まで届くようにエアフローにて施術しました。
施術コース:エアーフロー60分コース 12000円 
- 費用(概算)
 - 12000円+TAX費用は治療当時の料金となります
 
治療について
詰め物との境目の汚れは、ポリッシングブラシでは取り除くことが難しいため
エアフローの細かいパウダーを角度を変えて当ててとれる範囲で除去しました。
担当歯科衛生士
六本木河野歯科クリニック DH椎名
PMTCの注意事項(リスク・副作用など)
- 歯を白くする目的の施術ではありません
 - 保険適用外となります
 
当サイトの内容、テキスト、画像等の無断転載、複製、複写、盗用を固く禁じます。

                      
                                                          




