症例詳細
Case detail
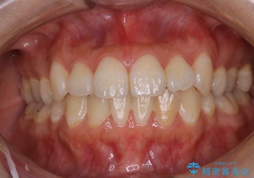
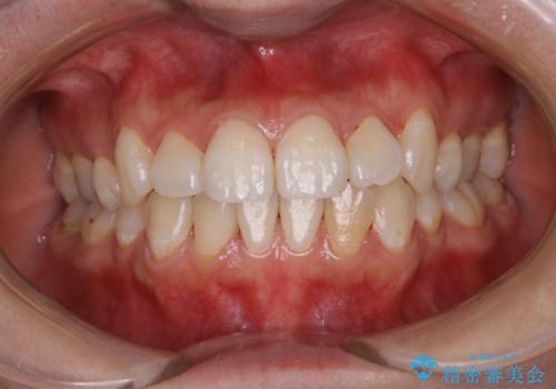
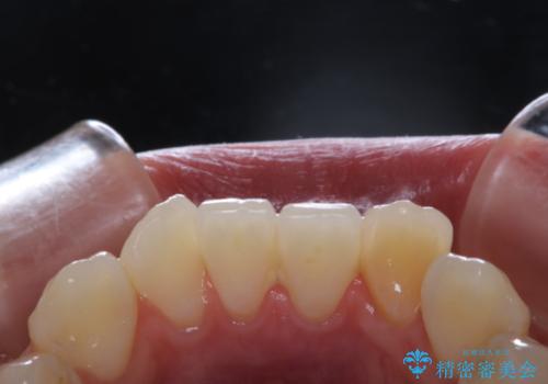
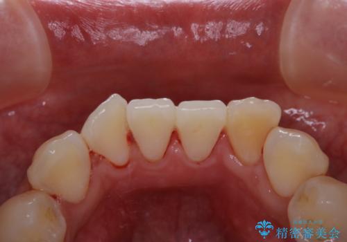
インビザラインでの矯正治療前にPMTCで歯のクリーニング
治療症例の内容
- 診療科目
- 治療カテゴリ
- 患者様
- 30代女性
- 治療期間
- 1日
- 治療回数
- 1回
- 治療計画
- 矯正治療の前にクリーニング希望で来院されました。PMTC30分コースを行いました。
- 費用(概算)
- 5千円+tax費用は治療当時の料金となります
治療について
PMTCは、国家資格取得者の歯科衛生士により、専門的な機械や材料を使用してのクリーニングです。一人一人の患者様のお口の状態に合わせたクリーニングを行います。
矯正治療は、歯を動かすため歯肉にも負担がかかります。そのため、矯正前にしっかりクリーニングを行い健康なお口の状態にしておくことが大切です。
担当歯科衛生士
表参道しらゆり歯科 DH西澤
PMTCの注意事項(リスク・副作用など)
- 歯を白くする目的の施術ではありません
- 保険適用外となります
当サイトの内容、テキスト、画像等の無断転載、複製、複写、盗用を固く禁じます。






