症例詳細
Case detail
磨きにくい奥歯の歯磨き指導とPMTC
治療症例の内容
- 診療科目
- 治療カテゴリ
- 患者様
- 20代女性
- 治療期間
- 1日
- 治療回数
- 1回
- 治療計画
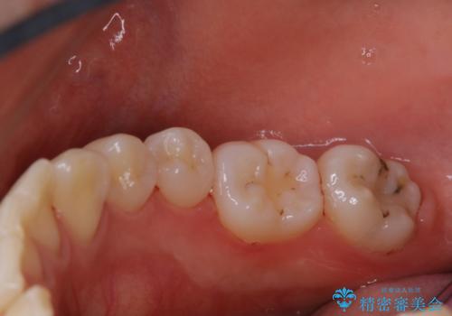
- 奥歯の磨き方が難しく、上手く歯磨きできないためクリーニングで除去して欲しいとのことでした。PMTC30分コースを行い、歯磨き指導も行いました。
- 費用(概算)
- 5千円+tax費用は治療当時の料金となります
治療について
染め出しを行い、どこに歯ブラシが当たっていないか確認し、ブラッシングの改善ができるように指導も行いました。
染め出しをしてみると、べったりとプラークが付着していることがわかります。プラークが長い間付着したままだと、歯石となり歯ブラシだけでは取り除くことのできない状態になります。
また、PMTCでは専門的な機械や材料を使用して汚れを除去していくため、虫歯や歯周病・口臭予防にもなり、定期的に行うことで、お口の健康維持につながります。
担当歯科衛生士
表参道しらゆり歯科 DH西澤
PMTCの注意事項(リスク・副作用など)
- 歯を白くする目的の施術ではありません
- 保険適用外となります
当サイトの内容、テキスト、画像等の無断転載、複製、複写、盗用を固く禁じます。




