症例詳細
Case detail
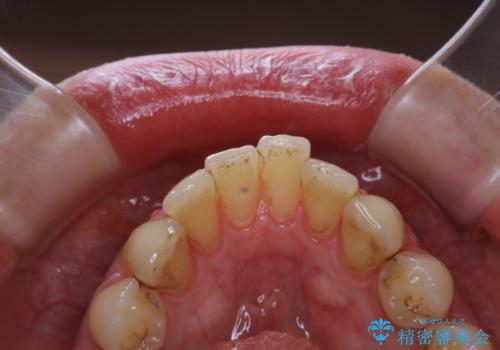
久しぶりの歯科医院にて歯のクリーニング
治療症例の内容
- 診療科目
- 治療カテゴリ
- 患者様
- 40代男性
- 治療期間
- 1日
- 治療回数
- 1回
- 治療計画
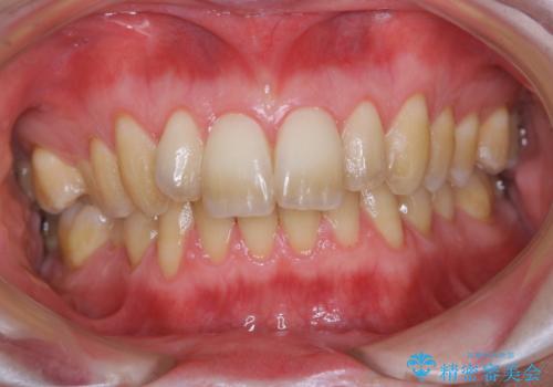
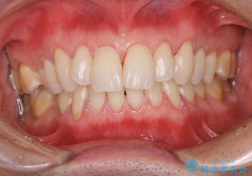
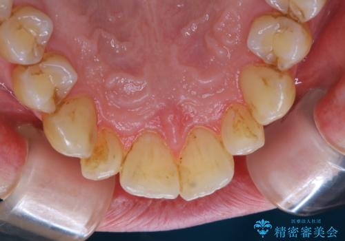
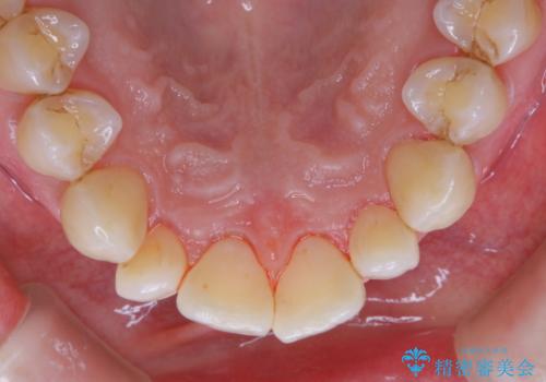
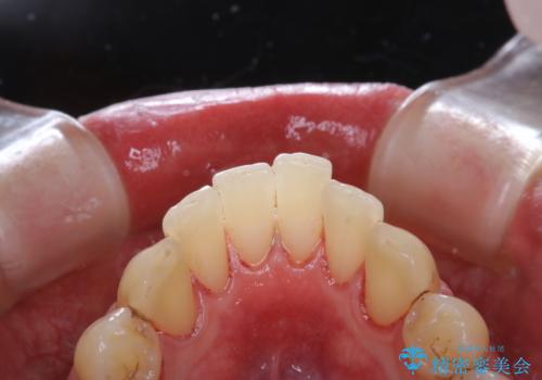
- かなり久しぶりの来院とのことで、クリーニング希望でした。全体的に汚れの付着があったため、PMTCの60分コースを行いました。
- 費用(概算)
- 1万円+tax費用は治療当時の料金となります
治療について
PMTCとは、プロフェッショナル・メカニカル・トゥース・クリーニングという、専門家による機械的な歯のクリーニングです。 PMTCは、歯磨きだけでは落とすことのできない細菌・バイオフィルムを除去することが目的です。
バイオフィルムとは、細菌の塊で、プラークの強固な集合体です。
バイオフィルムは、虫歯や歯周病の原因となります。
歯の健康を守るためには、1回だけで終わらすことなく、定期的にPMTCを行うことがとても大切です。
担当歯科衛生士
表参道しらゆり歯科 DH西澤
PMTCの注意事項(リスク・副作用など)
- 歯を白くする目的の施術ではありません
- 保険適用外となります
当サイトの内容、テキスト、画像等の無断転載、複製、複写、盗用を固く禁じます。








