症例詳細
Case detail
お茶による歯の黄ばみ取り
治療症例の内容
- 診療科目
- 治療カテゴリ
- 患者様
- 40代女性
- 治療期間
- 1日
- 治療回数
- 1回
- 治療計画
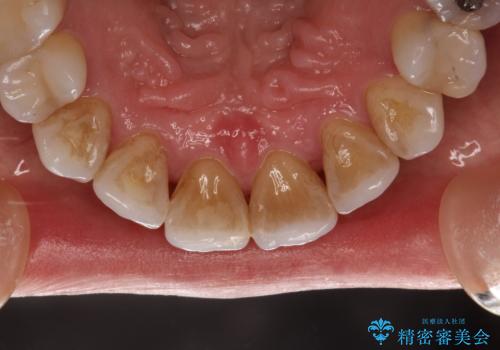
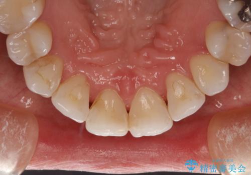
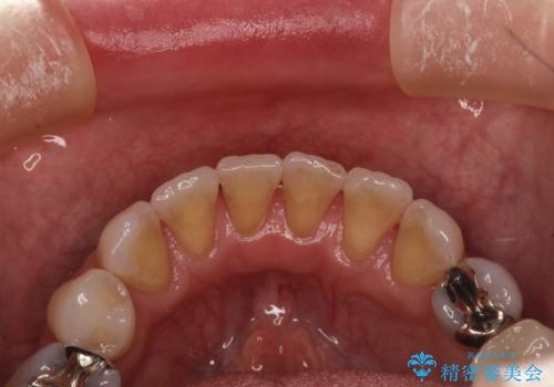
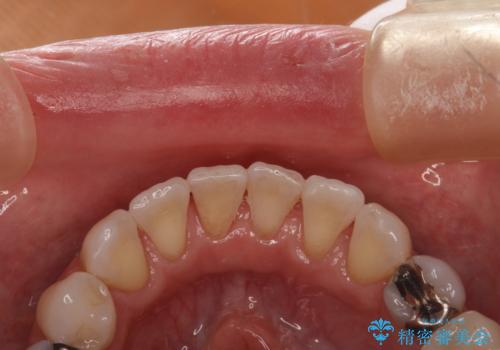
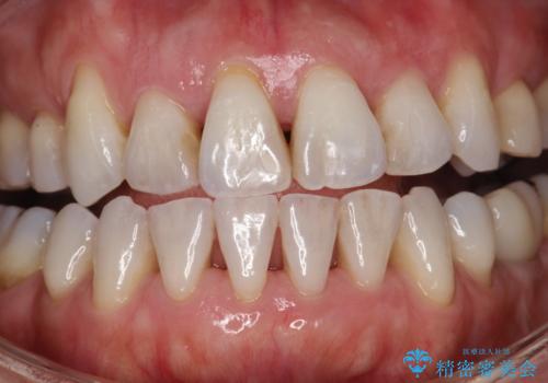
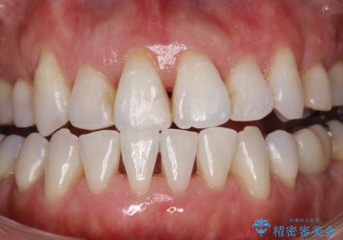
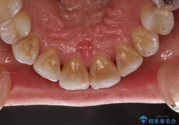
- 頻繁にお茶を飲むため、黄ばんだ感じが気になるとのことで来院されました。着色の付着が薄かったのでPMTC30分コースを行いました。
- 費用(概算)
- 5千円+tax費用は治療当時の料金となります
治療について
PMTCでは、バイオフィルム・歯石・着色などを専門的な機械や材料を使用して除去します。毎日の歯磨きだけでは取り切ることのできない細かい部分にも機械を当てることで、適切なケアにつながります。
歯や歯肉の健康を保つためには、定期的にPMTCを行うことが大切です。
コースについては、その都度担当の歯科衛生士とご相談します。
担当歯科衛生士
表参道しらゆり歯科 DH西澤
PMTCの注意事項(リスク・副作用など)
- 歯を白くする目的の施術ではありません
- 保険適用外となります
当サイトの内容、テキスト、画像等の無断転載、複製、複写、盗用を固く禁じます。








