症例詳細
Case detail
1年ぶりにPMTCで歯の着色落とし
治療症例の内容
- 診療科目
- 治療カテゴリ
- 患者様
- 30代女性
- 治療期間
- 1日
- 治療回数
- 1回
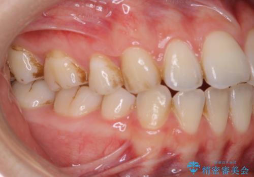
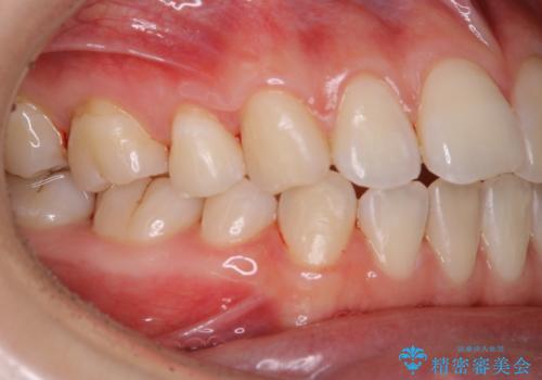
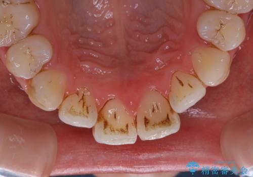
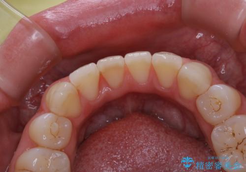
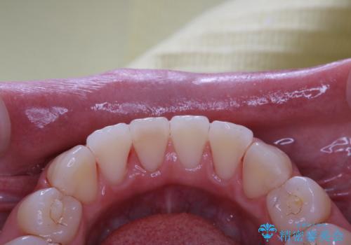
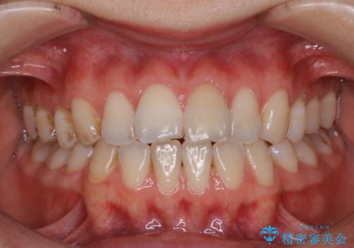
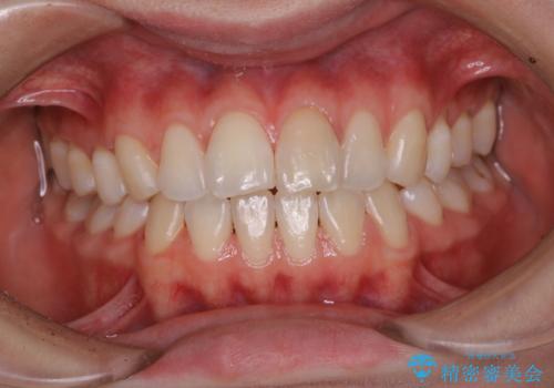
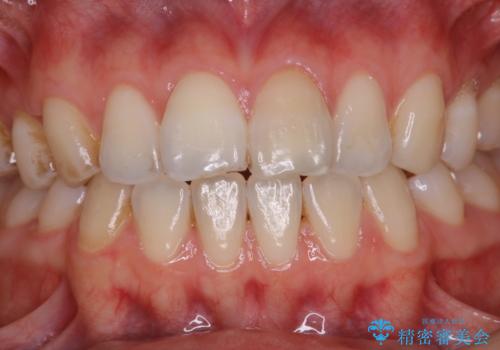
- 治療計画
- しばらく歯科医院へ行けなかったため、しっかり着色や汚れを落として欲しいとのことで来院されました。全体的に着色や歯石が付着していたためPMTC60分コースを行いました。
- 費用(概算)
- 1万円+tax費用は治療当時の料金となります
治療について
ご自身でのセルフケアだけで着色を落とそうとすると、逆に歯を傷つけてしまったり、的確に汚れを取りきれないことがあります。また、日常生活で着色しやすい飲食物を避けたりすることはストレスに感じてしまったり、あまり現実的ではありません。
定期的に歯科医院にて、適切な処置を行うことで、健康的なお口の状態を維持することにつながります。
担当歯科衛生士
表参道しらゆり歯科 DH西澤
PMTCの注意事項(リスク・副作用など)
- 歯を白くする目的の施術ではありません
- 保険適用外となります
当サイトの内容、テキスト、画像等の無断転載、複製、複写、盗用を固く禁じます。










