症例詳細
Case detail
矯正治療前の歯のクリーニング PMTC
治療症例の内容
- 診療科目
- 治療カテゴリ
- 患者様
- 30代女性
- 治療期間
- 1日
- 治療回数
- 1回
- 治療計画
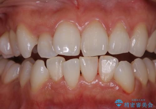
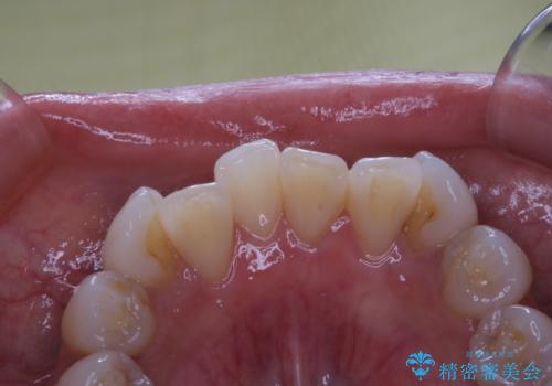
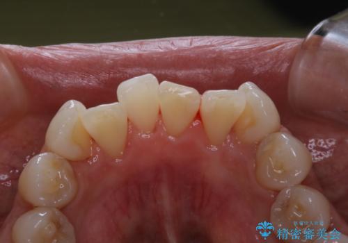
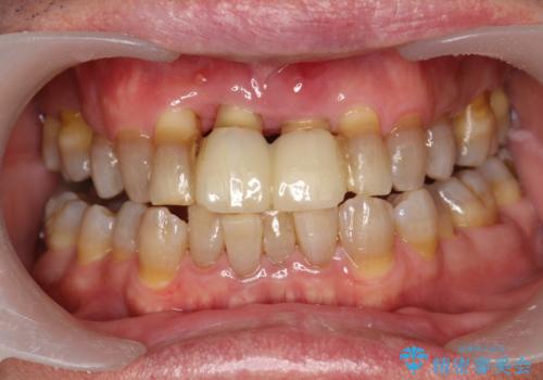
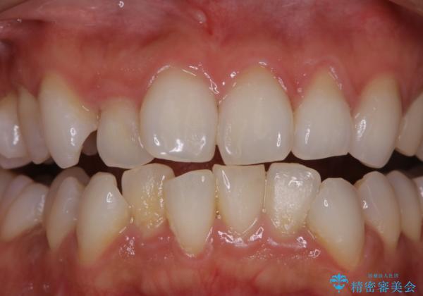
- 矯正治療前にクリーニング希望で来院されました。歯石やプラーク、が全体的に付着していたためPMTC60分コースを行いました。
- 費用(概算)
- 1万円+tax費用は治療当時の料金となります
治療について
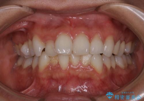
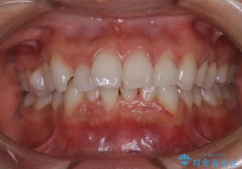
矯正治療前には、PMTCで歯石や汚れを取り除き、健康的な歯肉の状態にすることが大切です。PMTCでは、がたつきになどより、ご自身では取り切ることのできない細かい部分などに付着した汚れなども、専門的な機械や材料を使用してクリーニングを行います。
また、しっかりと汚れを除去することで、虫歯や歯周病などを早期発見することができます。
担当歯科衛生士
表参道しらゆり歯科 DH西澤
PMTCの注意事項(リスク・副作用など)
- 歯を白くする目的の施術ではありません
- 保険適用外となります
当サイトの内容、テキスト、画像等の無断転載、複製、複写、盗用を固く禁じます。






