症例詳細
Case detail
口臭予防にPMTCでお口のケア
治療症例の内容
- 診療科目
- 治療カテゴリ
- 患者様
- 20代男性
- 治療期間
- 1日
- 治療回数
- 1回
- 治療計画
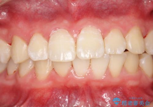
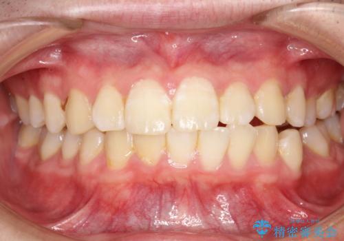
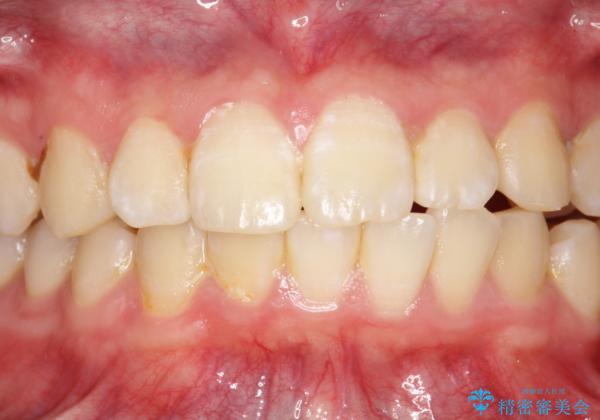
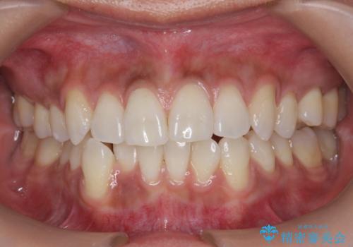
- 営業職のため口臭予防のために、クリーニングを希望されました。お口全体的に歯石やプラークが分厚く着色していたため、PMTCの60分コースを行いました。
- 費用(概算)
- 1万円+tax費用は治療当時の料金となります
治療について
歯科医院にて、専門的な機械や材料を使用して行うPMTCというクリーニングは、虫歯や歯周病予防だけではなく、口臭予防にも効果的です。
日常の歯磨きだけでは、取り除くことのできない汚れを徹底的に除去しますので施術後にはスッキリと爽快感となります。
担当歯科衛生士
表参道しらゆり歯科 DH西澤
PMTCの注意事項(リスク・副作用など)
- 歯を白くする目的の施術ではありません
- 保険適用外となります
当サイトの内容、テキスト、画像等の無断転載、複製、複写、盗用を固く禁じます。




