症例詳細
Case detail
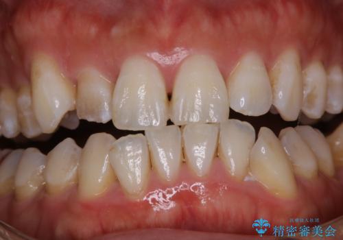
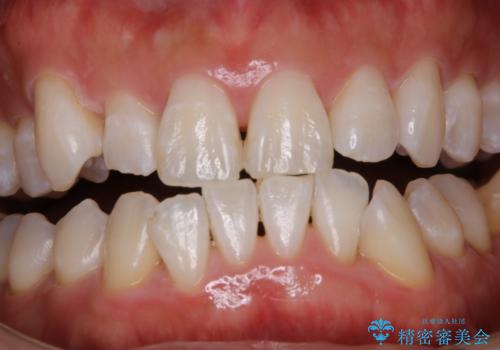
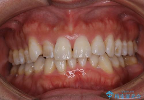
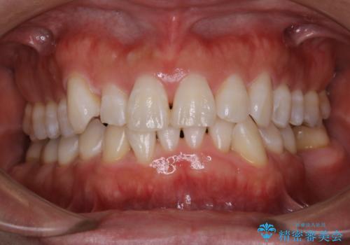
治療前にPMTCでステイン・黄ばみの除去
治療症例の内容
- 診療科目
- 治療カテゴリ
- 患者様
- 30代男性
- 治療期間
- 1日
- 治療回数
- 1回
- 治療計画
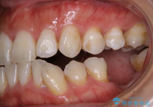
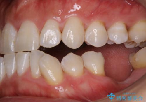
- 治療開始前に、ステインをきれいに落としたいとのことでした。全体的にステイン(着色)が付着していたのでPMTCの60分コースを行いました。
- 費用(概算)
- 1万円+tax費用は治療当時の料金となります
治療について
歯にステイン(着色)や歯石などが付着していると、汚れなのか虫歯なのかの判別が分かりにくく、正確な診断ができないことがあります。
そのため、治療前には専門的な機械や材料を使用したクリーニング(PMTC)をすることで、ご自身本来の歯の状態となります。より、精密な治療前を行うためには、治療前などにPMTCを行いお口の中の環境を綺麗にすることがおすすめです。
担当歯科衛生士
表参道しらゆり歯科 DH西澤
PMTCの注意事項(リスク・副作用など)
- 歯を白くする目的の施術ではありません
- 保険適用外となります
当サイトの内容、テキスト、画像等の無断転載、複製、複写、盗用を固く禁じます。








