症例詳細
Case detail
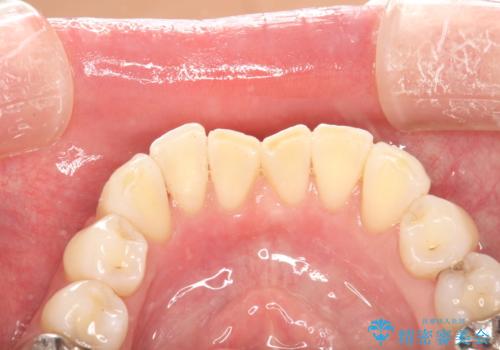
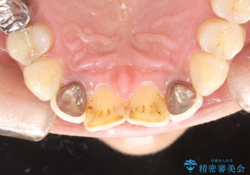
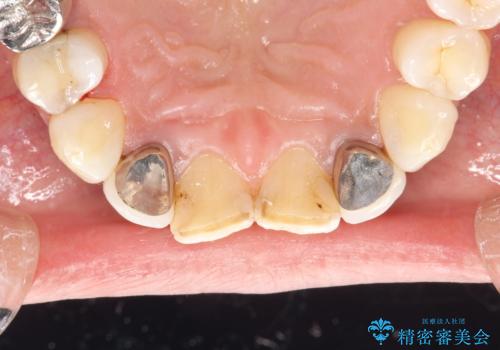
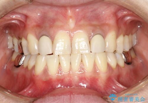
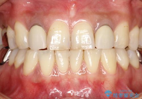
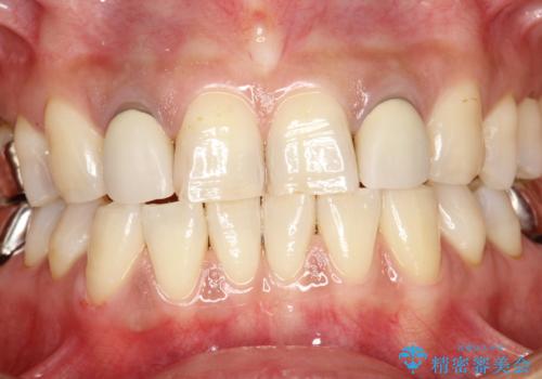
歯の着色落とし
治療症例の内容
- 診療科目
 
- 治療カテゴリ
 
- 患者様
 - 40代女性
 
- 治療期間
 - 1日
 
- 治療回数
 - 1回
 
- 治療計画
 - 前歯の着色が気になり、虫歯治療の前にしっかり綺麗にしたいとのことでした。pmtc30分コースでクリーニングを行いました。
 
- 費用(概算)
 - 5千円+tax費用は治療当時の料金となります
 
治療について
これから全顎的に、被せもののやり替えや、虫歯の治療を行うにあたり、pmtcで本来の歯の状態にすることで、より精密な治療が行えるお口の中の環境になります。また、歯石や着色、汚れを取り除くことで、虫歯や歯周病の早期発見につながります。
治療開始前や、治療途中、治療終了後などに歯科医院にて、専門的な機械・材料を使用して定期的にクリーニングを行うことはとても大切です。
担当歯科衛生士
表参道しらゆり歯科 DH西澤
PMTCの注意事項(リスク・副作用など)
- 歯を白くする目的の施術ではありません
 - 保険適用外となります
 
当サイトの内容、テキスト、画像等の無断転載、複製、複写、盗用を固く禁じます。

                      
                                                          






