症例詳細
Case detail
「整形した?」と言われるほどの変化! 口元を矯正治療で改善 鼻を高くしたわけでも、アゴに何か入れたわけでもありません。
治療症例の内容
- 診療科目
- 担当医
- 井上季実子(ドクタープロフィール)
- 患者様
- 20代女性
- 矯正装置
- 審美装置
- 治療期間
- 3年5ヶ月
- 治療回数
- 10-30回
- 治療計画
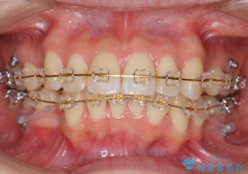
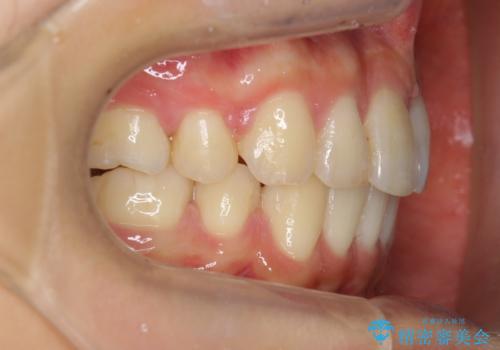
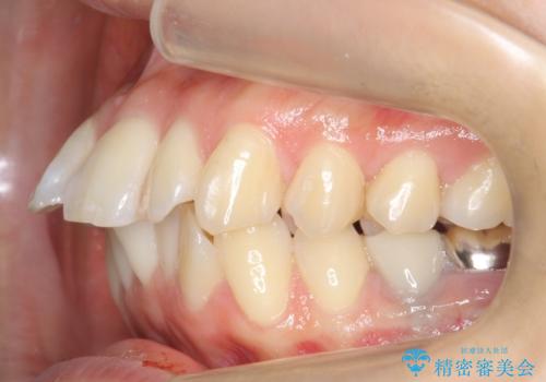
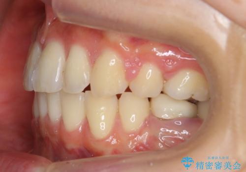
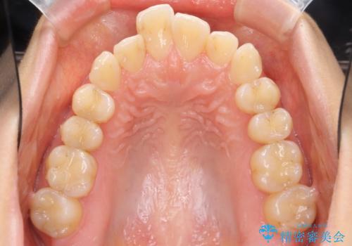
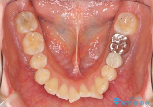
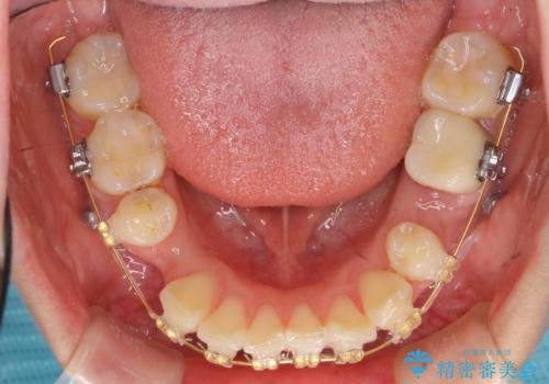
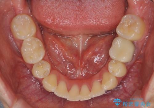
- 口元の突出と出っ歯を主訴に来院。
インプラント矯正で、時間がかかっても大きく前歯を下げることにしました。
上下左右の歯を抜歯しています。
左下は神経のない5番目を抜いており、本来は4番めの方が前歯が下げやすく、治療期間も短くなるのですが、健康な歯を残す治療計画にしています。
また、左側が2級咬合だった為、治療に時間はかかりましたが、しっかり1級に仕上げています。
- 費用(概算)
- 95万円費用は治療当時の料金となります
治療について
矯正した後半は、友達に、「整形した?」と言われるとのことでした。
それほどの良い方向の変化があったということですね。
口元が突出している方は鼻やアゴに美容整形を施して高さを出すよりも、口元を下げた方がスッキリ自然な変化が得られます。
ワイヤー矯正の注意事項(リスク・副作用など)
- 治療中は違和感や痛みが起こることがあります
- 症状により、抜歯が必要な場合があります
- 治療中は歯磨きがしにくくなるため、虫歯や歯周病になりやすくなります
- 矯正治療後の保定が不十分だと後戻り(元の位置に戻ろうとする動き)をします
- 自費診療(保険適用外)となります
当サイトの内容、テキスト、画像等の無断転載、複製、複写、盗用を固く禁じます。





















