症例詳細
Case detail
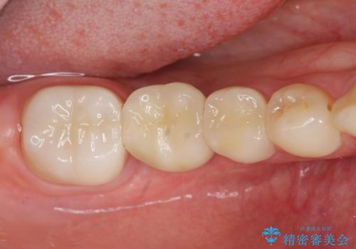
臼歯インプラント補綴
治療症例の内容
- 診療科目
- 治療カテゴリ
- 担当医
- 大元洋佑(ドクタープロフィール)
- 患者様
- 20代女性
- 治療期間
- 7ヶ月
- 治療回数
- 5-10回
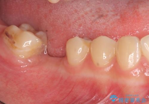
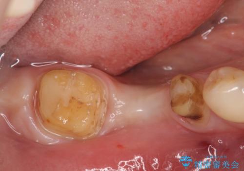
- 治療計画
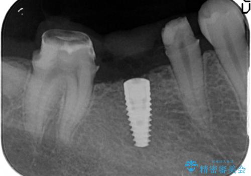
- 虫歯で歯を失い、インプラント治療を希望され来院されました。
吸収した骨を造骨にて補い、インプラントによる機能回復を計画します。
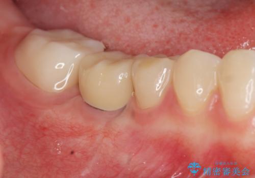
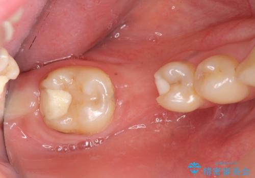
- 費用(概算)
- 70万円(仮歯・ジルコニアクラウン×3 ストローマンインプラント・アバットメント)費用は治療当時の料金となります
インプラント治療について
歯を失ってからの時間が経過し骨が吸収してしまっていても、造骨を行うことで予知性の高いインプラント治療を行うことができます。
インプラント治療の注意事項(リスク・副作用など)
- 外科手術のため、術後に痛みや腫れ、違和感を伴います
- メンテナンスを怠ったり喫煙により、お口の中に大きな悪影響を及ぼすインプラント周囲炎等にかかる可能性があります
- 糖尿病、肝硬変、心臓病等の場合、インプラント治療ができない可能性があります
- 高血圧、貧血・不整脈等の場合、インプラント治療後に治癒不全を招く可能性があります
- 自費診療(保険適用外治療)となります
当サイトの内容、テキスト、画像等の無断転載、複製、複写、盗用を固く禁じます。












