症例詳細
Case detail
歯周病 再生治療で歯を残す
治療症例の内容
- 診療科目
- 治療カテゴリ
- 担当医
- 大元洋佑(ドクタープロフィール)
- 患者様
- 30代女性
- 治療期間
- 1年2ヶ月
- 治療回数
- 5-10回
- 治療計画
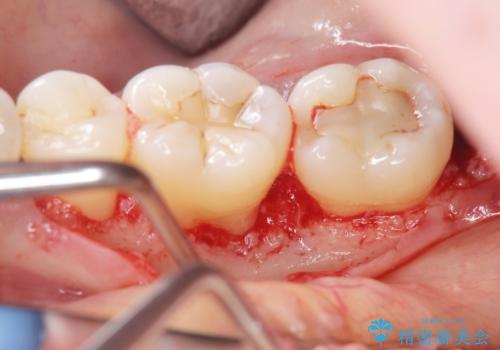
- 妊娠中に歯周病を指摘・自覚され、出産後に歯周病治療を希望され来院されました。
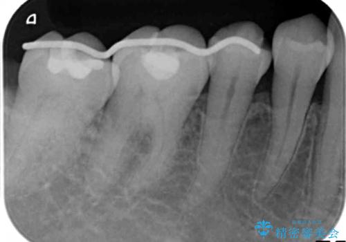
X線検査、歯周組織検査より歯の周囲の骨が溶ける歯周病であることがわかりました。
歯を抜かずに残せるよう、再生療法・歯周ポケット除去手術を計画します。
- 費用(概算)
- 30万円(歯周組織再生療法 歯周ポケット除去手術)費用は治療当時の料金となります
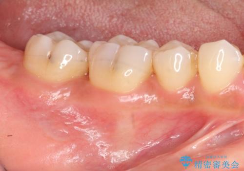
歯周病の再生治療について
再生治療を行うことで、吸収した骨を再生し歯を保存できることがあります。
歯周病治療の注意事項(リスク・副作用など)
- 外科手術のため、術後に痛みや腫れ、違和感を伴います
- 歯周組織再生治療は患者様の状態によって術後の経過が異なります(見た目が改善しない場合もあります)
- 歯周組織再生治療は自費診療(保険適用外)となります
当サイトの内容、テキスト、画像等の無断転載、複製、複写、盗用を固く禁じます。












