症例詳細
Case detail
前歯のクロスバイトとガタつきをマウスピース矯正(インビザライン )で治療した症例
治療症例の内容
- 担当医
- 林佳士登(ドクタープロフィール)
- 患者様
- 20代男性
- 矯正装置
- インビザライン
- 治療期間
- 1年3ヶ月
- 治療回数
- 10-30回
- 治療計画
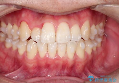
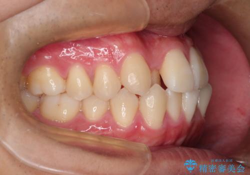
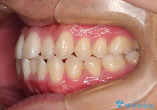
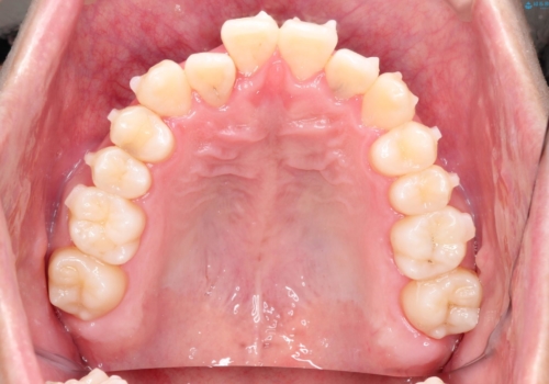
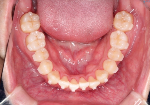
- 初診時には前歯のクロスバイトとガタつきが見られました。
インビザラインにて不正咬合の原因除去を行うためのシミュレーションを念入りに制作し、治療を行いました。
- 費用(概算)
- 80万円費用は治療当時の料金となります
治療について
使用したインビザラインのマウスピース枚数:33枚+10枚+8枚(初回マウスピース+リファインメントが2回、1週間に1枚ペースでの交換)
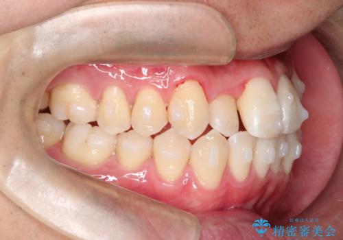
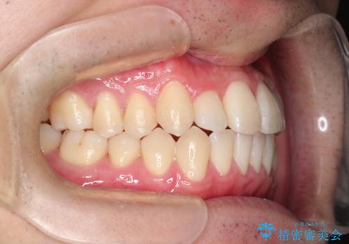
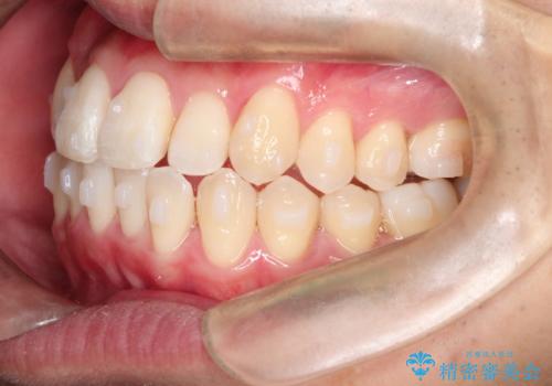
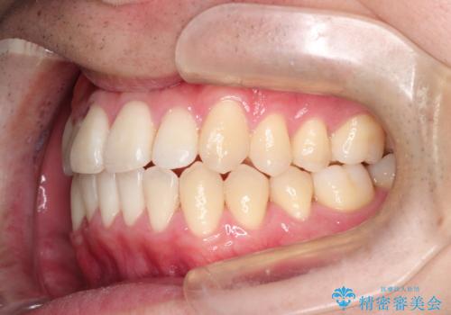
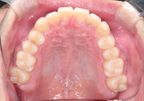
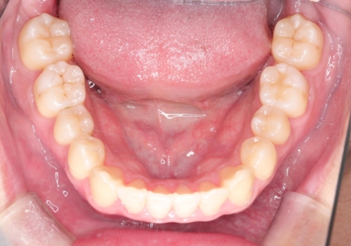
前歯のクロスバイトと歯列のガタつきがインビザライン治療によりスムーズに改善していますが、これは患者様に装着の方法と時間を厳守していただいたことによる賜物です。
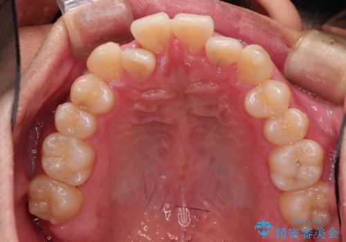
念入りにシミュレーションを組み立てた結果、歯列不正を解消させると共に上下の正中も一致させる事ができる結果となりました。
このケースではインビザラインのマウスピースをメインとし、初回マウスピースの際に補助的に顎間ゴムを使用しています。
マウスピース矯正の注意事項(リスク・副作用など)
- 口腔内・歯並びの状態によっては対応できない場合があります
- マウスピース型矯正装置の長時間装着(1日20時間以上)が必須です
- 治療計画通りに進めるためには、患者様の意志が重要になります
- 矯正治療後の保定が不十分だと後戻り(元の位置に戻ろうとする動き)をします
- 薬機法対象外の矯正歯科装置のため医薬品副作用被害救済制度の対象外となる場合があります
- 自費診療(保険適用外)となります
当サイトの内容、テキスト、画像等の無断転載、複製、複写、盗用を固く禁じます。















