症例詳細
Case detail
1年ぶりの歯科医院でクリーニング
治療症例の内容
- 診療科目
- 治療カテゴリ
- 患者様
- 30代女性
- 治療期間
- 1日
- 治療回数
- 1回
- 治療計画
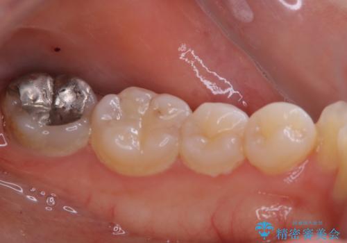
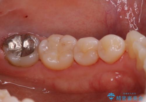
- 1年ぶりなので、キレイにクリーニングをしてほしいとのことで来院されました。全体的に汚れが付着していたのでPMTC60分コースを行いました。
- 費用(概算)
- 1万円+tax費用は治療当時の料金となります
治療について
メンテナンスの感覚は、【プラークコントロールの程度】【被せものの数や種類】【喫煙の有無】【その他生活習慣】などにより個人差はありますが、およそ3か月が目安となります。
そのため、PMTCを定期的に行い、虫歯・歯周病などの予防をすることで、健康なお口の状態でいられることにつながります。
担当歯科衛生士
表参道しらゆり歯科 DH西澤
PMTCの注意事項(リスク・副作用など)
- 歯を白くする目的の施術ではありません
- 保険適用外となります
当サイトの内容、テキスト、画像等の無断転載、複製、複写、盗用を固く禁じます。




