症例詳細
Case detail
磨けているようで磨けていない汚れをPMTCで徹底的に除去
治療症例の内容
- 診療科目
- 治療カテゴリ
- 患者様
- 20代男性
- 治療期間
- 1日
- 治療回数
- 1回
- 治療計画
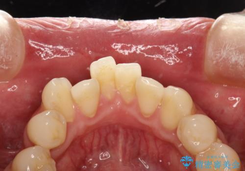
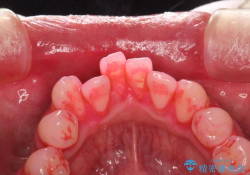
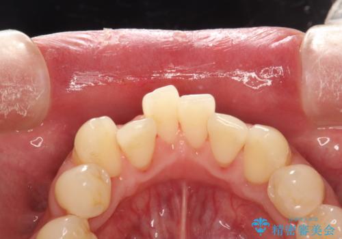
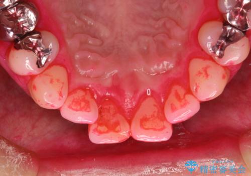
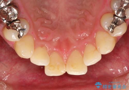
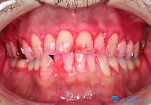
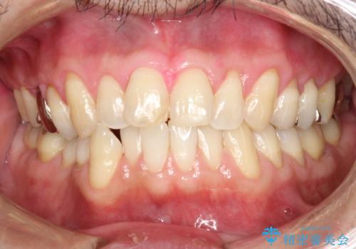
- 歯科でのクリーニングがかなり久しぶりで口臭も気になるとのことで来院されました。PMTCの60分コースで、染め出し・ブラッシング指導・クリーニングを行いました。
- 費用(概算)
- 1万円+tax費用は治療当時の料金となります
治療について
口臭は、様々なことからの原因がありますが、お口の中の細菌が繁殖することにより発生するともいわれています。多くの場合は正しい歯磨きを習慣づけることで、減少されます。毎日のご自身でのケアと、定期的に歯科医院にてPMTCを受けることにより、息をさわやかにすることができます。
適切な歯磨き方法を習得するには、染め出しを行い、磨き残しを把握していくことがポイントです。
磨けているよう、磨いているつもりでも、汚れが残ってしまうと、毎日の歯磨き時間が無駄になってしまうこともあります。効率的に歯磨きを行い、磨き残しを減らせるように、歯科衛生士による専門的な指導を行います。
担当歯科衛生士
表参道しらゆり歯科 DH西澤
PMTCの注意事項(リスク・副作用など)
- 歯を白くする目的の施術ではありません
- 保険適用外となります
当サイトの内容、テキスト、画像等の無断転載、複製、複写、盗用を固く禁じます。









