症例詳細
Case detail
定期的なPMTCでオーラルケア
治療症例の内容
- 診療科目
- 治療カテゴリ
- 患者様
- 50代女性
- 治療期間
- 1日
- 治療回数
- 1回
- 治療計画
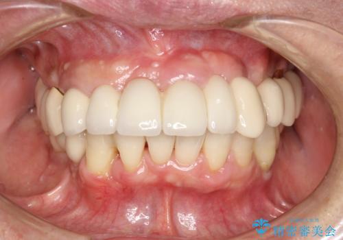
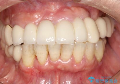
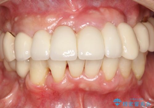
- 被せものの定期的なチェック・メメンテナンスで来院されました。笑ったときの口元が気になるため、黄ばみ・着色も落としたいとのことでした。着色の付着は前歯がメインだったため、PMTCの30分コースを行いました。
- 費用(概算)
- 5千円+tax費用は治療当時の料金となります
治療について
口元に、黄ばみがあると、なんとなくお口の清潔感がないように感じることがあります。歯科医院にて定期的にPMTCを受けて黄ばみや着色を落とすことで、本来の歯質の状態になります。そのため、清潔感のある明るくなった口元の印象になります。
また、審美的な面だけではなく、虫歯や歯周病予防にもなります。虫歯や歯周病予防のためには、お口の中を清潔に保つことが大切です。
担当歯科衛生士
表参道しらゆり歯科 DH西澤
PMTCの注意事項(リスク・副作用など)
- 歯を白くする目的の施術ではありません
- 保険適用外となります
当サイトの内容、テキスト、画像等の無断転載、複製、複写、盗用を固く禁じます。




