症例詳細
Case detail
数年ぶりに歯科医院にて歯のクリーニング
治療症例の内容
- 診療科目
- 治療カテゴリ
- 患者様
- 40代女性
- 治療期間
- 1日
- 治療回数
- 1回
- 治療計画
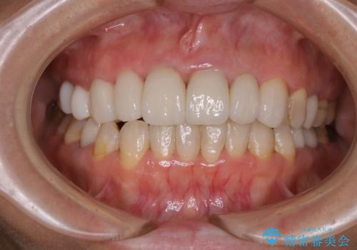
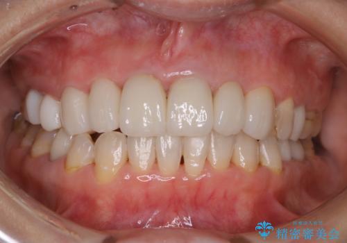
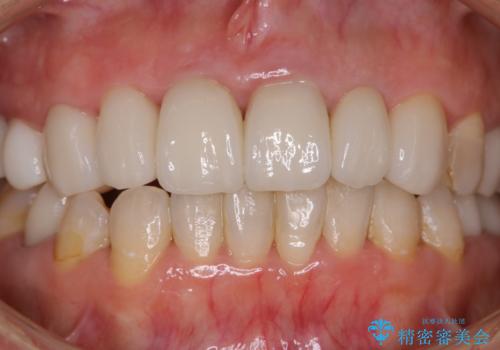
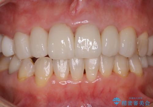
- 数年ぶりの歯科医院とのことで久しぶりにしっかりクリーニング希望で来院されました。歯石の量が多かったのでPMTC60分コースを行いました。
- 費用(概算)
- 1万円+tax費用は治療当時の料金となります
治療について
歯石が付着していると、本来あるべき歯と歯のすき間が埋め尽くされてしまい、歯間ブラシ・糸ようじ・フロスなどが通せなくなってしまうことがあります。
また、下の前歯の裏側は、舌下線という唾液腺が近くにあるため歯石がつきやすい部分と言われています。歯周病や虫歯が進行しやすいため要注意です。
そのため、歯科医院にて定期的にPMTCを受けることが大切です。
担当歯科衛生士
表参道しらゆり歯科 DH西澤
PMTCの注意事項(リスク・副作用など)
- 歯を白くする目的の施術ではありません
- 保険適用外となります
当サイトの内容、テキスト、画像等の無断転載、複製、複写、盗用を固く禁じます。






