症例詳細
Case detail
定期的にPMTCで口元ケアを
治療症例の内容
- 診療科目
- 治療カテゴリ
- 患者様
- 30代女性
- 治療期間
- 1日
- 治療回数
- 1回
- 治療計画
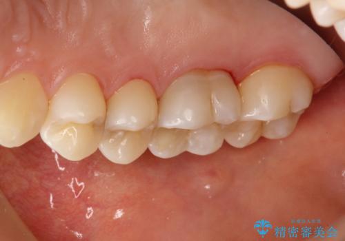
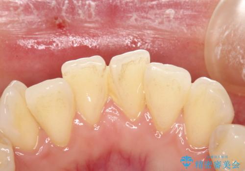
- 約3か月ごとにPMTCを行っている方です。定期的にメンテナンスしているためPMTC30分コースで全体のクリーニングが可能でした。
- 費用(概算)
- 5千円+tax費用は治療当時の料金となります
治療について
歯の表面は磨けていても、歯茎の境目や歯と歯の間の磨き残しはとても多いです。そのため、定期的にメンテナンスを行い、どこに磨き残しがあるか確認したり、歯磨きの仕方について指導を受けることが大切です。
担当歯科衛生士
表参道しらゆり歯科 DH西澤
PMTCの注意事項(リスク・副作用など)
- 歯を白くする目的の施術ではありません
- 保険適用外となります
当サイトの内容、テキスト、画像等の無断転載、複製、複写、盗用を固く禁じます。






