症例詳細
Case detail
ステイン除去 PMTC
治療症例の内容
- 診療科目
- 治療カテゴリ
- 患者様
- 30代男性
- 治療期間
- 1日
- 治療回数
- 1回
- 治療計画
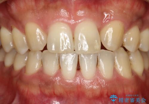
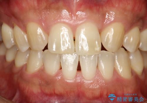
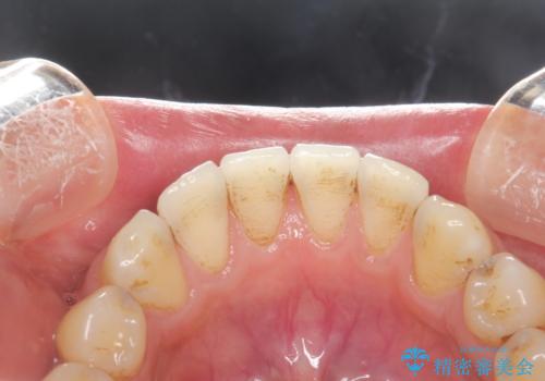
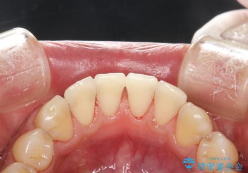
- 全体的な着色(ステイン)、黄ばみが気になるとのことで、来院されました。着色(ステイン)などの付着量が多かったためPMTCの60分コースを行いました。
- 費用(概算)
- 1万円+tax費用は治療当時の料金となります
治療について
PMTCを行うと、着色(ステイン)や歯石などを除去することができます。
PMTCは、歯科医院にて専門的な機械・材料を使用して行う専用クリーニングです。着色(ステイン)や歯石を取り除くことで、ご自身の本来の歯の色となります。また、施術後にはスッキリとした爽快感あ得られたり、歯の舌ざわりがツルツルになり気持ちがいいです。
担当歯科衛生士
表参道しらゆり歯科 DH西澤
PMTCの注意事項(リスク・副作用など)
- 歯を白くする目的の施術ではありません
- 保険適用外となります
当サイトの内容、テキスト、画像等の無断転載、複製、複写、盗用を固く禁じます。








