症例詳細
Case detail
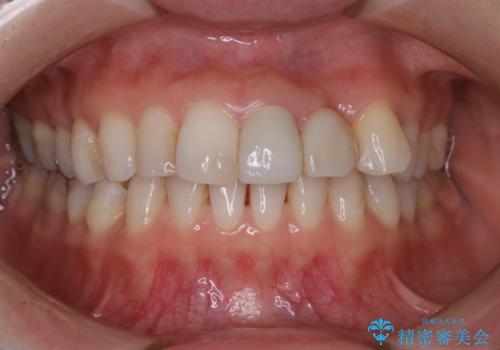
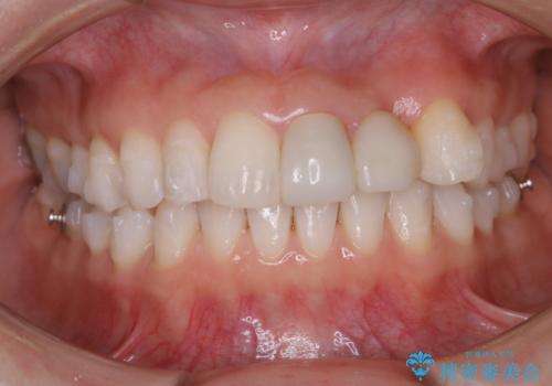
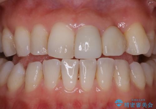
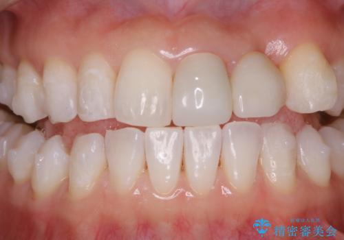
インビザライン アタッチメント設定前のPMTC
治療症例の内容
- 診療科目
- 治療カテゴリ
- 患者様
- 20代女性
- 治療期間
- 1日
- 治療回数
- 1回
- 治療計画
- アタッチメントセットの際に、黄ばみや着色・歯石がついていて気になるとのことでした。アタッチメントの設定前にPMTC30分コースを行い、本来のご自身の歯の表面にした状態でアタッチメントの設定を行いました。
- 費用(概算)
- 5千円+tax費用は治療当時の料金となります
治療について
マウスピース矯正インビザライン治療では、歯の表面にアタッチメントという突起を設定します。(アタッチメントは歯の動きを効率的に移動するためのものです)
アタッチメントの設定時に、プラークや歯石・着色がついていると精密に付かないことや、外れやすくなることがあります。
PMTCを行い、専門的な機械でしっかりと汚れを除去してからアタッチメントの設定をすることがおススメです。
担当歯科衛生士
表参道しらゆり歯科 DH西澤
PMTCの注意事項(リスク・副作用など)
- 歯を白くする目的の施術ではありません
- 保険適用外となります
当サイトの内容、テキスト、画像等の無断転載、複製、複写、盗用を固く禁じます。






