症例詳細
Case detail
3年ぶりに歯科医院でお掃除 PMTC
治療症例の内容
- 診療科目
- 治療カテゴリ
- 患者様
- 40代女性
- 治療期間
- 1日
- 治療回数
- 1回
- 治療計画
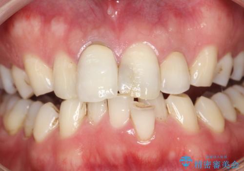
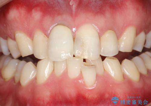
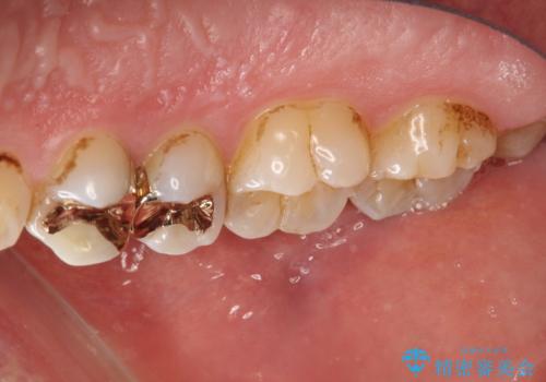
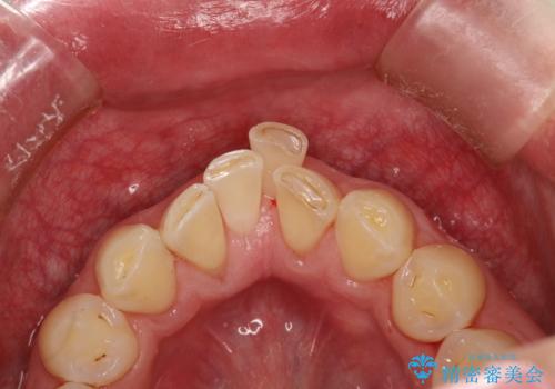
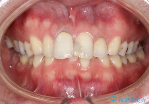
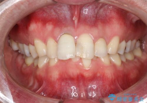
- 約3年ほど歯科医院での定期健診やクリーニングを受けてないとのことでした。全体的に歯石・着色などが付着していていたためPMTC60分コースを行いました。
- 費用(概算)
- 1万円+tax費用は治療当時の料金となります
治療について
分厚く歯石や着色が付着していると、汚れなのか虫歯なのかの判別がしづらい場合があります。しばらく定期健診やクリーニングを行っていない場合は、まずはしっかりと汚れを除去し、本来のご自身の歯の状態にすることで、より精密なお口の状態の診断が行えます。
CRとは
コンポジットレジンとも言われる、主に虫歯治療で使われる歯科用プラスチックです。
虫歯を削り、削ったところにCRを充填します。
CRは経年的に劣化や変色、着色が付着してしまうことがあります。
PMTCによって、CRと、ご自身の歯の境目の着色などがしっかりと落とせて目立たなくなる場合と、PMTCによってしっかりとクリーニングを行うと、CR自体が古く劣化・変色などしていて目立ってくる場合があります。気になる際は詰め替えを行います。
担当歯科衛生士
表参道しらゆり歯科 DH西澤
PMTCの注意事項(リスク・副作用など)
- 歯を白くする目的の施術ではありません
- 保険適用外となります
当サイトの内容、テキスト、画像等の無断転載、複製、複写、盗用を固く禁じます。












