症例詳細
Case detail
ワイヤー矯正中のPMTCで虫歯・歯周病・口臭予防
治療症例の内容
- 診療科目
- 治療カテゴリ
- 患者様
- 20代女性
- 治療期間
- 1日
- 治療回数
- 1回
- 治療計画
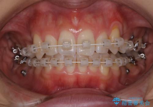
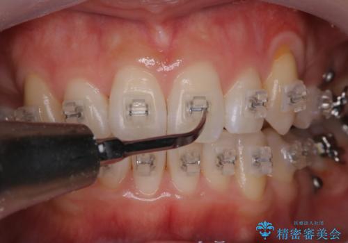
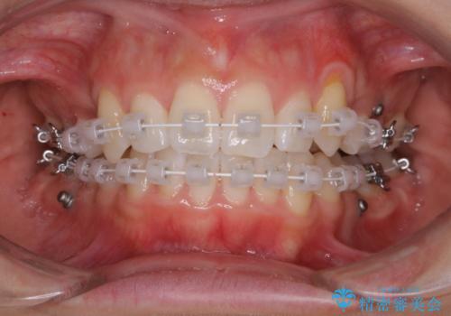
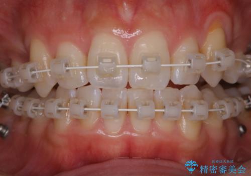
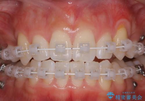
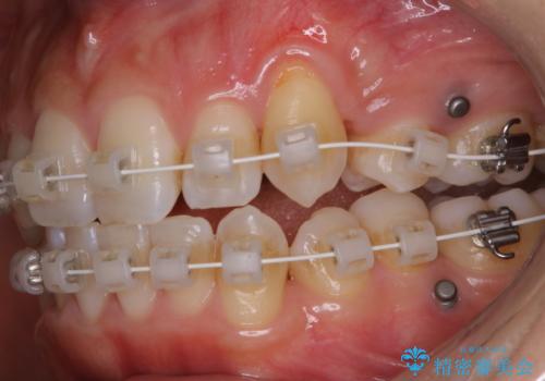
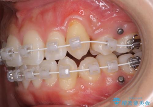
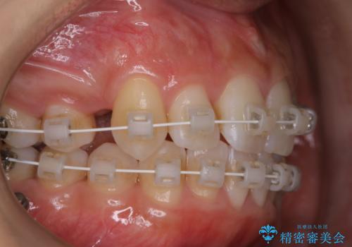
- ワイヤー矯正中に、装置の周りなどに着色(ステイン)がついてしまい気になるとのことでした。ワイヤーを外して、PMTC60分コースで全体的なクリーニングを行いました。
- 費用(概算)
- 1万円+tax費用は治療当時の料金となります
治療について
ワイヤー矯正中は、装置の周りに汚れがたまりやすくなったり、歯の移動によりお口の環境が変化するため虫歯や歯周病・口臭のリスクが高くなることがあります。
また、装置の周りなどに着色(ステイン)がついてしまうと、なかなかご自身でのケアだけでは綺麗な状態をキープすることが難しいです。そのため、専門的な機械や材料を使用してしっかりとしたクリーニング(PMTC)をこまめに行うことがおすすめです。
歯ブラシや歯間ブラシなど、日常でのケアでは落としきれない細かい部分にも、機械を使用して、徹底的に汚れの除去をすることで、リスクの予防につながります。
担当歯科衛生士
表参道しらゆり歯科 DH西澤
PMTCの注意事項(リスク・副作用など)
- 歯を白くする目的の施術ではありません
- 保険適用外となります
当サイトの内容、テキスト、画像等の無断転載、複製、複写、盗用を固く禁じます。









