症例詳細
Case detail
半年ぶりのクリーニング PMTC
治療症例の内容
- 診療科目
- 治療カテゴリ
- 患者様
- 70代男性
- 治療期間
- 1日
- 治療回数
- 1回
- 治療計画
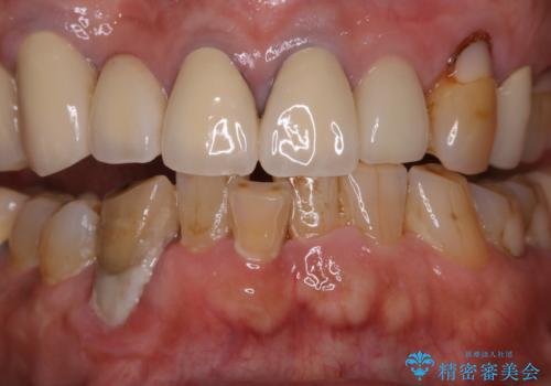
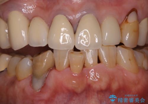
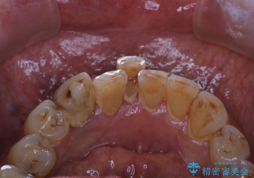
- 半年、来院できなかったためきれいにクリーニングしたいとのことでした。久しぶりだったことと、全体的に汚れが付着していたためPMTC60分コースを行いました。
- 費用(概算)
- 1万円+TAX費用は治療当時の料金となります
治療について
PMTCを行うとステインやバイオフィルム(細菌のかたまり)が除去され、ご自身本来の歯の状態になります。そのためスッキリとした爽快感が得られ、気持ちがいいです。また、口臭予防にもなります。
PMTCを継続的に繰り返していくうちに、歯の表面がつるつるになり虫歯や歯周病の予防につながります。継続して行うことが大切です。
担当歯科衛生士
表参道しらゆり歯科 DH西澤
PMTCの注意事項(リスク・副作用など)
- 歯を白くする目的の施術ではありません
- 保険適用外となります
当サイトの内容、テキスト、画像等の無断転載、複製、複写、盗用を固く禁じます。






