症例詳細
Case detail
頑固な着色汚れを1日でキレイに
治療症例の内容
- 診療科目
- 治療カテゴリ
- 患者様
- 40代男性
- 治療期間
- 1日
- 治療回数
- 1回
- 治療計画
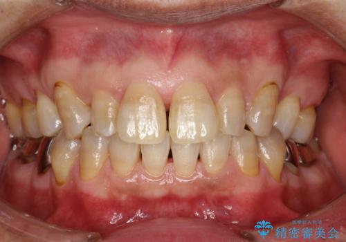
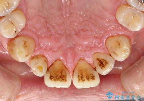
- 歯科医院でのクリーニングを今までしたことがなく、長年にわたり付着した着色(ステイン)をキレイにしたいとのことでした。
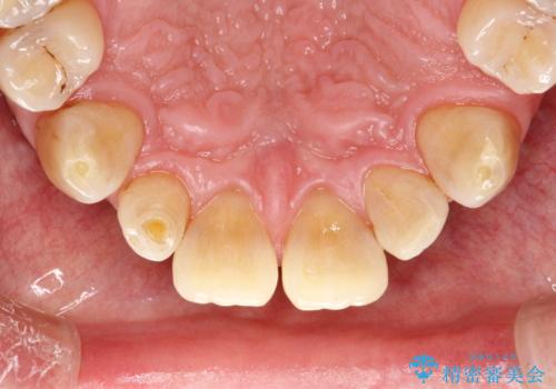
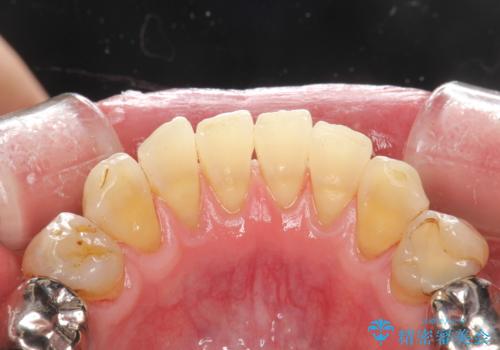
お口全体にかなり分厚く着色(ステイン)が付着していたため、PMTC(自費クリーニング)60分コースを行いました。
- 費用(概算)
- 1万円+tax費用は治療当時の料金となります
治療について
PMTCは、歯に付着した汚れを除去していくため、着色が気になる場合にも行うことができます。ご自身でのセルフケアだけで着色を落とそうとすると、逆に歯を傷つけてしまったり、精密に汚れを除去できないこともあります。また、日常生活で着色しやすい飲食物を避けたりすることはストレスに感じてしまったり、あまり現実的ではありません。
歯科医院にて、適切な処置を行うことで、長期的に安定したお口の環境が作られます。まずはカウンセリングなどもおススメです。
PMTCとは
PMTC(プロフェッショナル・メカニカル・トゥース・クリーニング)とは、虫歯や歯周病、口臭予防などのために歯科医師や歯科衛生士が専門的な機械や材料を使用して行うクリーニングのことです。
担当歯科衛生士
表参道しらゆり歯科 DH西澤
PMTCの注意事項(リスク・副作用など)
- 歯を白くする目的の施術ではありません
- 保険適用外となります
当サイトの内容、テキスト、画像等の無断転載、複製、複写、盗用を固く禁じます。








