症例詳細
Case detail
ワイヤー装置除去後のクリーニング
治療症例の内容
- 診療科目
- 治療カテゴリ
- 患者様
- 20代女性
- 矯正装置
- 審美装置
- 治療期間
- 1日
- 治療回数
- 1回
- 治療計画
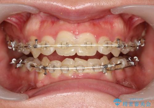
- 約1年半表側のワイヤー矯正をしてた患者さんの治療が終了し、装置を外すタイミングでPMTCも一緒に行いました。
矯正装置の周りはすごく汚れがたまっているため、装置除去のタイミングでPMTCをし、今までの蓄積された汚れも取り除くことできれいに矯正を終了することができました。
- 費用(概算)
- 7000円(税別)費用は治療当時の料金となります
治療について
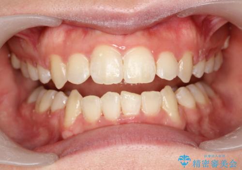
歯面についたステインは少量だったため、エアフローの30分コースでクリーニングを行いました。
装置を除去した後歯と歯の間や、裏側には汚れがついているため矯正を終了したタイミングで一緒にクリーニングを行いお口の中の汚れやワイヤーの装置が付いていて届かなかったところのステイン、プラークなどをとるのをお勧めいたします。
担当歯科衛生士
六本木河野歯科クリニック DH椎名
PMTCの注意事項(リスク・副作用など)
- 歯を白くする目的の施術ではありません
- 保険適用外となります
当サイトの内容、テキスト、画像等の無断転載、複製、複写、盗用を固く禁じます。



