症例詳細
Case detail
前歯のステイン(着色)をPMTCでキレイに
治療症例の内容
- 診療科目
- 治療カテゴリ
- 患者様
- 20代女性
- 治療期間
- 1日
- 治療回数
- 1回
- 治療計画
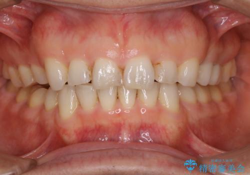
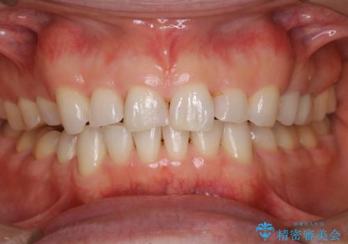
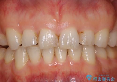
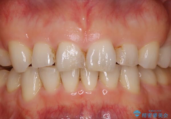
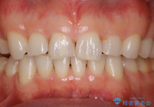
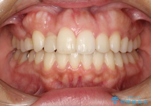
- コーヒーを普段からよく飲むため、着色・ステインが気になるとのことで来院されました。着色が前歯のみに付着していたためPMTC自費クリーニングの30分コースを行いました。
- 費用(概算)
- 5千円+tax費用は治療当時の料金となります
治療について
一か所茶色く色が残っている所がありますが、これは詰め物の変色です。
以前にCR(コンポジットレジン)による虫歯の治療での充填がされています。
CRは経年的に劣化や変色、着色がついてしまいます。
PMTCでしっかりとクリーニングを行うと、古いCRが目立つことがあり、気になる際は詰め替えを行います。
担当歯科衛生士
表参道しらゆり歯科 DH西澤
PMTCの注意事項(リスク・副作用など)
- 歯を白くする目的の施術ではありません
- 保険適用外となります
当サイトの内容、テキスト、画像等の無断転載、複製、複写、盗用を固く禁じます。




