症例詳細
Case detail
1年ぶりのPMTCで着色落とし
治療症例の内容
- 診療科目
- 治療カテゴリ
- 患者様
- 30代男性
- 治療期間
- 1日
- 治療回数
- 1回
- 治療計画
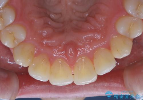
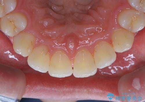
- 1年ぶりに、全体の汚れ・着色落とし希望で来院されました。
以前までは3か月に1回のペースでメンテナンスをしていましたが、忙しくなり期間が空いてしまったとのことです。
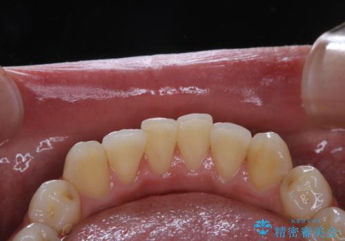
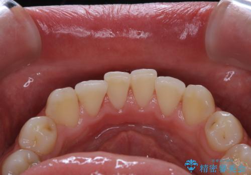
全体のチェックとPMTC60分コースを行いました。
- 費用(概算)
- 1万円+tax費用は治療当時の料金となります
治療について
定期的にPMTCを行うことで、虫歯・歯周病の再発リスクを減らしたり、歯を長持ちさせるための対策になります。歯に付着した着色や汚れを取り除くことで、笑った口元も明るい印象になります。お口の中がツルツルで、スッキリと爽快感で気持ちがよくもなります。また、口臭予防にもなりますので歯の健康を保つためにPMTCを行うことをおススメします。
担当歯科衛生士
表参道しらゆり歯科 DH西澤
PMTCの注意事項(リスク・副作用など)
- 歯を白くする目的の施術ではありません
- 保険適用外となります
当サイトの内容、テキスト、画像等の無断転載、複製、複写、盗用を固く禁じます。








