症例詳細
Case detail
invisalign中のPMTC
治療症例の内容
- 診療科目
- 治療カテゴリ
- 患者様
- 20代男性
- 治療期間
- 1日
- 治療回数
- 1回
- 治療計画
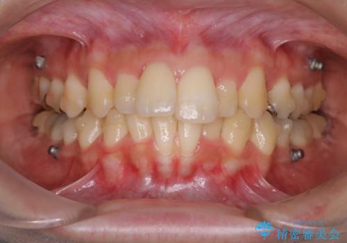
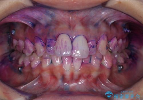
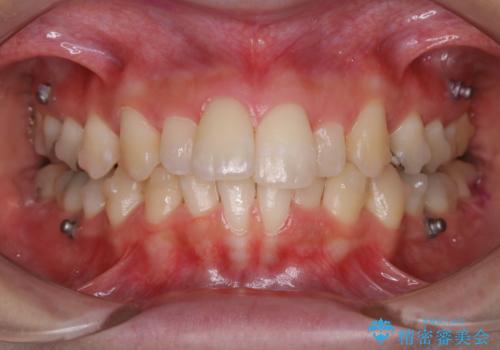
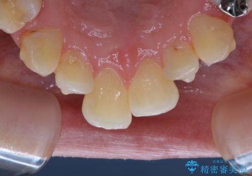
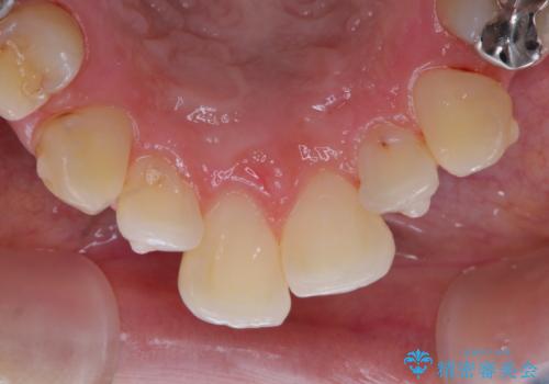
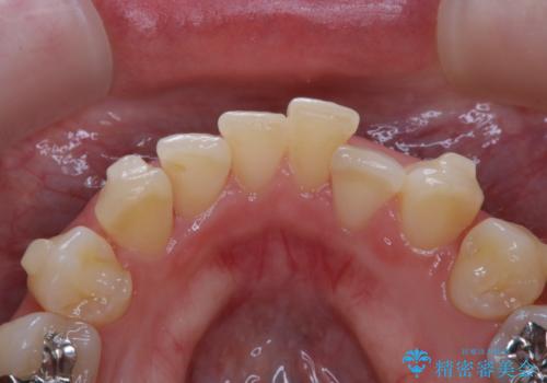
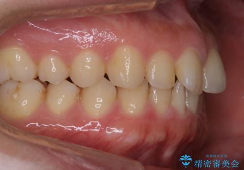
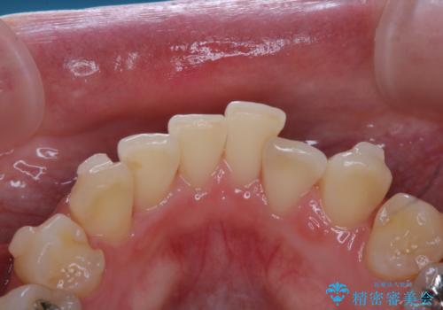
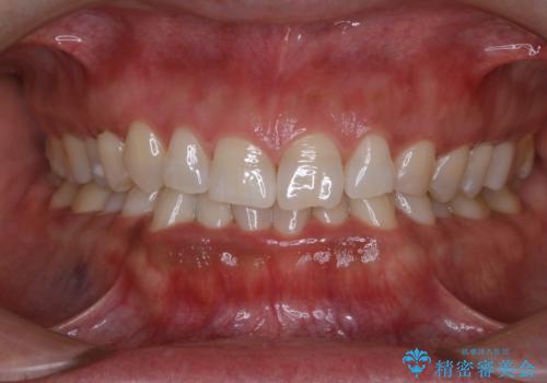
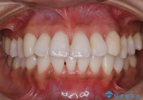
- インビザラインで矯正治療中にクリーニングを希望されました。PMTC60分コースで、クリーニングと歯ブラシ指導を行いました。
- 費用(概算)
- 1万円+tax費用は治療当時の料金となります
治療について
磨けているようでも、染出しをして目に見えるプラーク(歯垢)を確認することで、より正しいブラッシング方法を身につけることができます。インビザライン中は、歯にアタッチメントをつけるため、歯の表面がデコボコしてプラークが付きやすい状態になります。毎日のケアでしっかりと汚れを落として虫歯や歯周病・口臭のリスクを減らしていくことが大切です。定期的にメンテナンスを行い、ケアがどれくらい出来ているか確認したり歯科医院で専門的な機械や器具によるPMTCを行うことをおススメします。
担当歯科衛生士
表参道しらゆり歯科 DH西澤
PMTCの注意事項(リスク・副作用など)
- 歯を白くする目的の施術ではありません
- 保険適用外となります
当サイトの内容、テキスト、画像等の無断転載、複製、複写、盗用を固く禁じます。












