症例詳細
Case detail
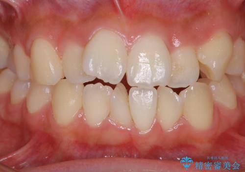
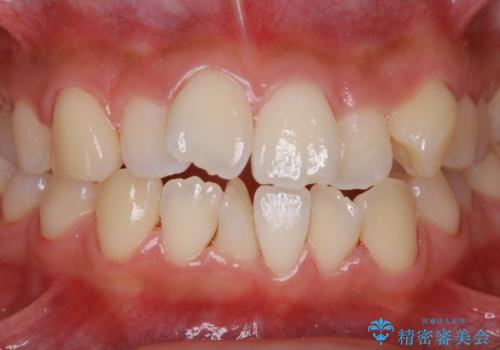
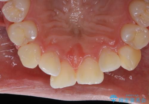
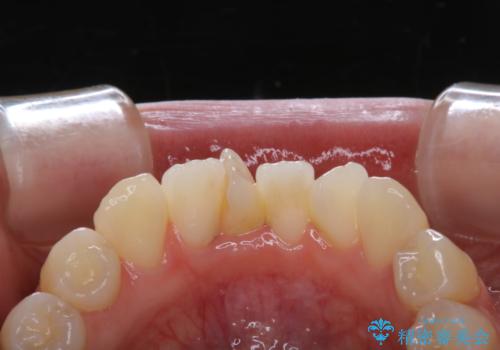
矯正治療開始前のPMTC
治療症例の内容
- 診療科目
- 治療カテゴリ
- 患者様
- 20代女性
- 治療期間
- 1日
- 治療回数
- 1回
- 治療計画
- 矯正カウンセリング、矯正検査後にクリーニング希望で来院されました。しばらく歯科医院にて、クリーニングを行ってなく、歯石やステインが気になるとのことでした。PMTC(自費クリーニング)30分コースを行いました。
- 費用(概算)
- 5千円+tax費用は治療当時の料金となります
治療について
矯正治療は、歯を動かすため歯ぐきにもかなりの負担がかかります。そのため歯列矯正の前にはしっかりとしたクリーニングを行い、歯ぐきのコンディションも整えることが大切です。また、歯石やステイン(着色)が歯についたままだと、矯正の装置が、適切に設置できなかったり、装置が外れやすくなってしまったりとトラブルの原因になることがあります。矯正治療中に歯周病や虫歯にならないためにも、専門的なクリーニングを行うことが大切です。
担当歯科衛生士
表参道しらゆり歯科 DH西澤
PMTCの注意事項(リスク・副作用など)
- 歯を白くする目的の施術ではありません
- 保険適用外となります
当サイトの内容、テキスト、画像等の無断転載、複製、複写、盗用を固く禁じます。








