症例詳細
Case detail
どうしても抜歯したくない 歯根分割術・骨外科手術で歯を残す 50代女性
治療症例の内容
- 担当医
- 患者様
- 50代女性
- 治療期間
- 6ヶ月
- 治療回数
- 5-10回
- 治療計画
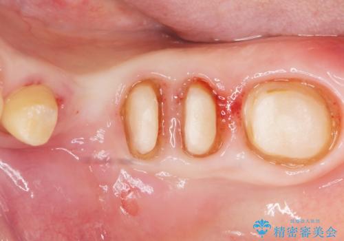
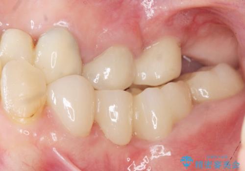
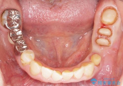
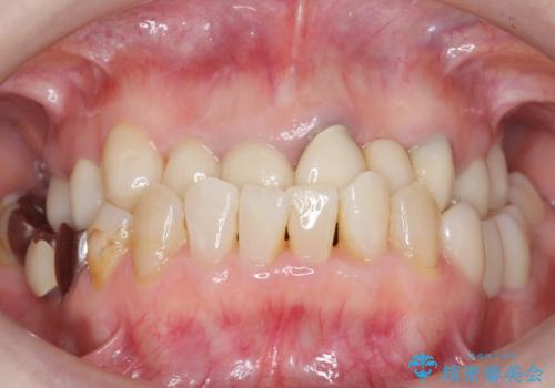
- 奥歯のブリッジの被せ物がとれてしまったとの主訴で来院された患者様です。
奥歯2本は虫歯により残っている健全歯質が少ないため、保存が難しい状態でした。
抜歯してインプラントを提案したところ、「どうしても抜きたくないので残してほしい」と強くご希望されました。
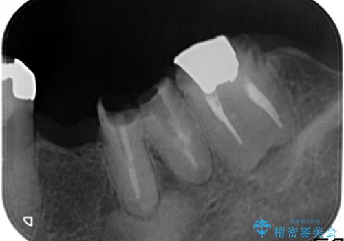
長期的な予後を保証できないことをご了承頂いた上で、歯根分割術、骨外科手術により歯の保存を試みました。
虫歯を丁寧に除去した後に歯根を分割し、骨を削合して健全歯質を露出させる骨外科手術を行いました。
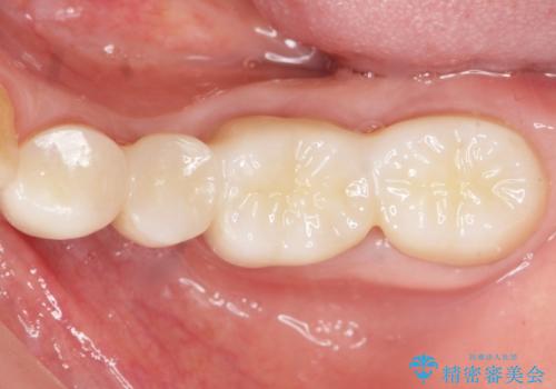
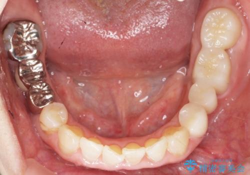
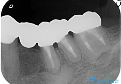
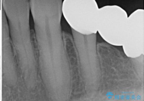
手術後に根管治療を行い、歯肉と骨の治癒を十分に待った後ブリッジによる補綴治療を行いました。
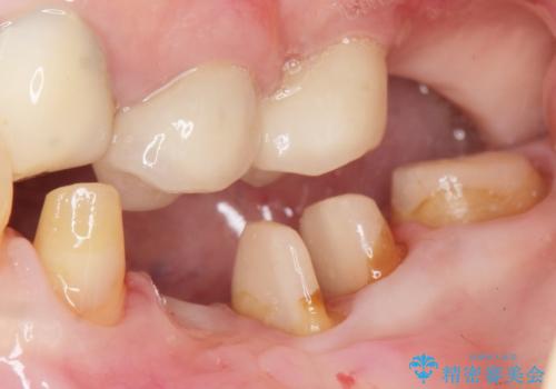
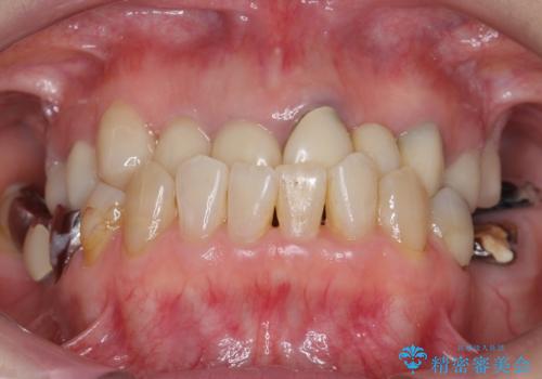
全顎的な咬み合わせの問題もあったため、外科手術を含めた矯正や上顎のインプラントも提案致しましたが、ご希望されませんでした。
- 費用(概算)
- ¥850,000 (歯根分割・骨外科手術、仮歯、精密根管治療、土台、被せ物)費用は治療当時の料金となります
治療について
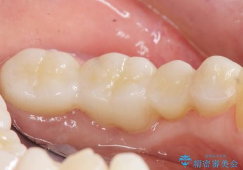
ご希望通り歯を抜かずに残すことができ、喜んで頂けました。
セルフメンテナンスしやすいよう、ブリッジと歯ぐきの間に歯間ブラシを通すことができるように作製しています。
咬合関係により奥歯の負担が大きいため、今後も注意深く経過観察していく予定です。
治療結果にご満足頂けたため上顎前歯の治療もご希望され、現在治療中です。
被せ物の種類:オールセラミッククラウン ベレッツァ
セラミック治療の注意事項(リスク・副作用など)
- 天然歯を削ります
- 硬い素材は天然歯を傷つけてしまう場合があります
- かみ合わせや歯ぎしりが強すぎる方はセラミックが割れてしまう可能性があります
- 自費診療(保険適用外治療)となります
根管治療の注意事項(リスク・副作用など)
- 根管治療により類似の全ての症例の問題が解決するわけではなく、症例はあくまでも一例です
- 根管治療により痛みや腫れがひかない事や、術後に痛みや腫れが生じる事、治療によるファイル破折やパーフォレーションなどの偶発症、術後の歯根破折を生じる可能性もあります
- 自費診療(保険適用外)となります
当サイトの内容、テキスト、画像等の無断転載、複製、複写、盗用を固く禁じます。























