症例詳細
Case detail
ワインによる着色・黄ばみをPMTCできれいに
治療症例の内容
- 診療科目
- 治療カテゴリ
- 患者様
- 30代女性
- 治療期間
- 1日
- 治療回数
- 1回
- 治療計画
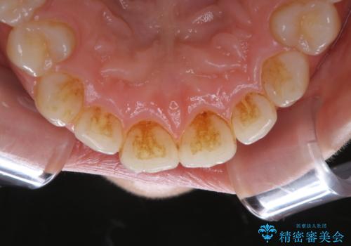
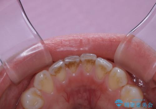
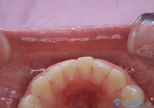
- 前歯の着色・黄ばみを落としたい、とのことで来院されました。黄ばみや着色は前歯だけでなく、奥歯や裏表と全体的に付着していたため、PMTCの60分コースをご案内・ご相談し、行いました。
- 費用(概算)
- 1万円+tax費用は治療当時の料金となります
治療について
ワインやコーヒー、カレーなどの飲み物・食べ物による歯の黄ばみは意外とよくあります。お口の中は臨界pH(歯の表面が溶けやすい酸性度)の5.5より低い状態になると、歯の表面のエナメル質が溶け出します。そのようなお口の中の状態が長時間続いたり、頻繁にあるとそれだけ歯の表面が溶けやすい状態になり、着色もしやすくなります。
そのため、PMTC(歯科医院にて、専門的なクリーニング)を定期的に行うことで、着色が付きにくい歯質の強化、健康で審美的にも美しい口腔内環境を維持すことにつながります。
担当歯科衛生士
表参道しらゆり歯科 DH西澤
PMTCの注意事項(リスク・副作用など)
- 歯を白くする目的の施術ではありません
- 保険適用外となります
当サイトの内容、テキスト、画像等の無断転載、複製、複写、盗用を固く禁じます。






