症例詳細
Case detail
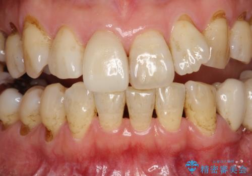
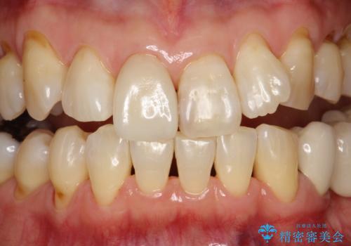
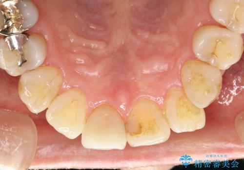
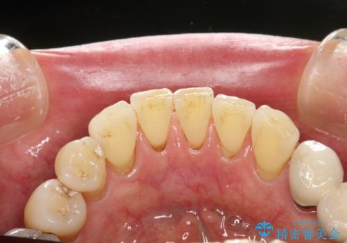
つきやすいステインを定期的にpmtcできれいにクリーニング
治療症例の内容
- 診療科目
- 治療カテゴリ
- 患者様
- 40代女性
- 治療期間
- 1日
- 治療回数
- 1回
- 治療計画
- 約2~3か月ごとに、定期的メンテナンスをしている方です。毎日紅茶をたくさん飲むとのことでステインを気にされ、クリーニング希望で来院されました。
全体的なチェックもかねてPMTC60分コースを行いました。
- 費用(概算)
- 1万円+tax費用は治療当時の料金となります
治療について
専門的な機械や材料を使用し、60分コースのPMTCクリーニングで、全体的な歯石や着色の除去を行いました。
PMTCは、毎日のブラッシングや食事によって傷ついた歯をツルツルでなめらかにします。継続して定期的に行うことで徐々に歯の表面の凸凹がツルツルになります。日常の飲食や、生活習慣スタイルにより、着色のつき具合には個人差があります。つきやすい方は月に1回のペースからPMTCを行い、徐々につきにくいお口の環境になってきたら3か月に1回のペースでPMTCを行うことがおすすめです。
メンテナンスの間隔や、コース内容などについてはその都度、担当の歯科衛生士とご相談します。
担当歯科衛生士
表参道しらゆり歯科 DH西澤
PMTCの注意事項(リスク・副作用など)
- 歯を白くする目的の施術ではありません
- 保険適用外となります
当サイトの内容、テキスト、画像等の無断転載、複製、複写、盗用を固く禁じます。










