症例詳細
Case detail
歯科衛生士によるクリーニング PMTC
治療症例の内容
- 診療科目
- 治療カテゴリ
- 患者様
- 20代男性
- 治療期間
- 1日
- 治療回数
- 1回
- 治療計画
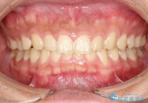
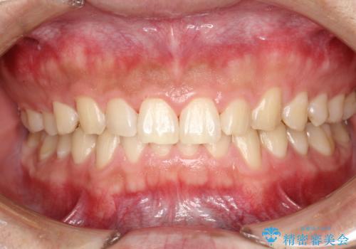
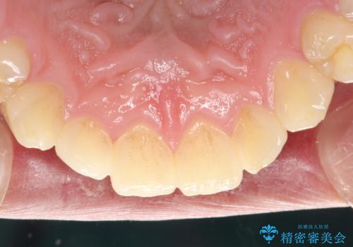
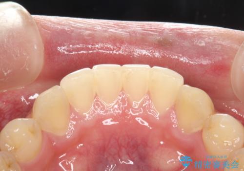
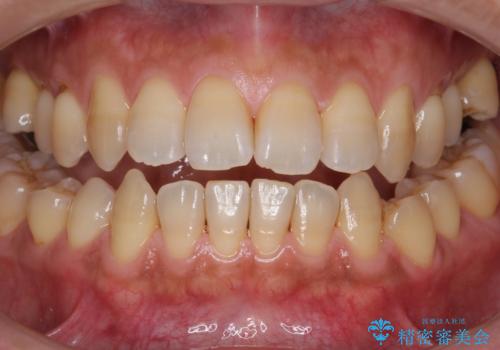
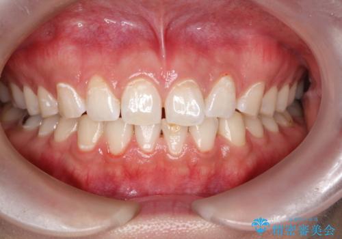
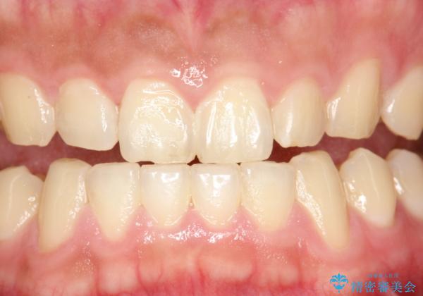
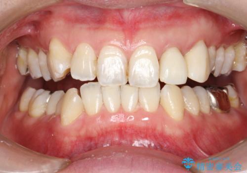
- 半年ぶりの来院で、全体的なチェックとクリーニング希望でした。PMTC(自費クリーニング)60分コースを行いました。
- 費用(概算)
- 1万円+tax費用は治療当時の料金となります
治療について
PMTCとは、プロフェッショナル(歯科衛生士)メカニカル(機械的)トゥース(歯)クリーニング(清掃)の略です。歯科医院にて、いろいろな機械・材料を使用し汚れを落とします。
磨き残しや、細菌は歯の表面がザラザラしている部分につきやすいです。そのためPMTCを定期的に繰り返すことで、歯の表面がツルツルの状態である期間が長くなるため、虫歯や歯周病予防につながります。
担当歯科衛生士
表参道しらゆり歯科 DH西澤
PMTCの注意事項(リスク・副作用など)
- 歯を白くする目的の施術ではありません
- 保険適用外となります
当サイトの内容、テキスト、画像等の無断転載、複製、複写、盗用を固く禁じます。








