症例詳細
Case detail
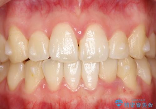
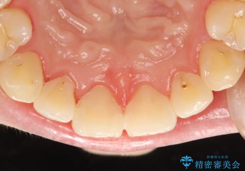
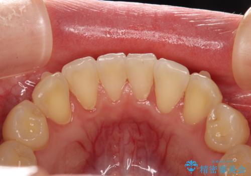
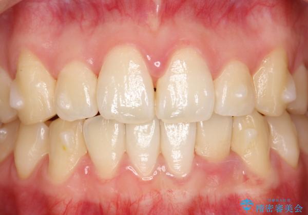
インビザライン矯正治療が終わり、アタッチメント除去と合わせて歯のクリーニング
治療症例の内容
- 診療科目
- 治療カテゴリ
- 患者様
- 20代女性
- 治療期間
- 1日
- 治療回数
- 1回
- 治療計画
- インビザラインでの矯正治療が終了したため、アタッチメント(歯の移動を効率的に行うため、歯の表面に設定する突起)を除去することになりました。その際に、クリーニングも希望されました。PMTC(自費クリーニング)30分コースを行いました。
- 費用(概算)
- 5千円+tax費用は治療当時の料金となります
治療について
アタッチメントを除去すると、エナメル質にダメージがかかることがあります。除去の際、一緒にクリーニングを行うことで、エナメル質をなめらかにしたり、歯ぐきの引き締まりが見られます。また、歯ブラシだけでは取り除けない汚れも取り除きますので、歯の表面がツルツルになります。矯正治療中・終了時には合わせてPMTCを行うことがおすすめです。
担当
表参道しらゆり歯科 DH西澤
PMTCの注意事項(リスク・副作用など)
- 歯を白くする目的の施術ではありません
- 保険適用外となります
当サイトの内容、テキスト、画像等の無断転載、複製、複写、盗用を固く禁じます。








