症例詳細
Case detail
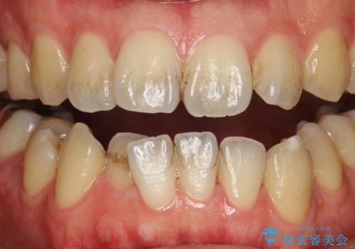
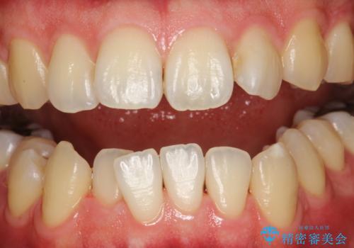
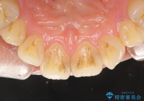
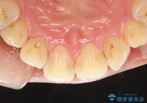
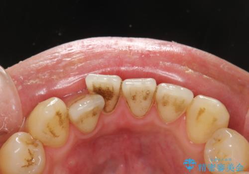
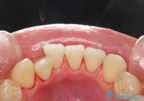
お茶により濃くついた着色落とし
治療症例の内容
- 診療科目
- 治療カテゴリ
- 患者様
- 30代男性
- 治療期間
- 1日
- 治療回数
- 1回
- 治療計画
- 日々、お茶をよく飲むため着色してしまい、着色落とし希望で来院されました。かなり分厚い着色(ステイン)がこびりついていたため、PMTC (歯科衛生士による専門的自費クリーニング)60分コースを行いました。
- 費用(概算)
- 1万円+tax費用は治療当時の料金となります
治療について
歯のクリーニング・PMTCとは、歯科衛生士が専用の器具を使用し歯磨きでは取れない汚れなどを取り除きます。普段の飲食などにより、ついてしまうステイン(着色)なども取り除きます。また、丁寧に歯の表面をみがき滑らかなツルツルの状態に仕上げるため、汚れの付きにくいきれいな歯になります。
PMTCには30分コースと60分コースがあります。来院時に担当の歯科衛生士とご相談してからの施術となります。
担当歯科衛生士
表参道しらゆり歯科 DH西澤
PMTCの注意事項(リスク・副作用など)
- 歯を白くする目的の施術ではありません
- 保険適用外となります
当サイトの内容、テキスト、画像等の無断転載、複製、複写、盗用を固く禁じます。








