症例詳細
Case detail
親知らずを抜いて1週間後にPMTC 歯のクリーニング
治療症例の内容
- 診療科目
- 治療カテゴリ
- 患者様
- 20代男性
- 治療期間
- 1日
- 治療回数
- 1回
- 治療計画
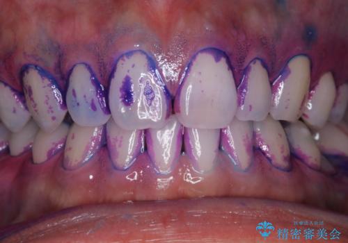
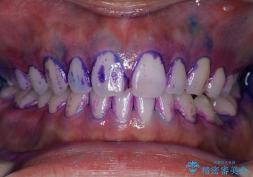
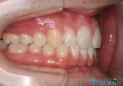
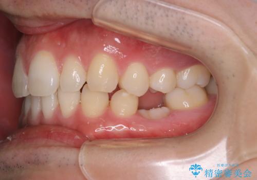
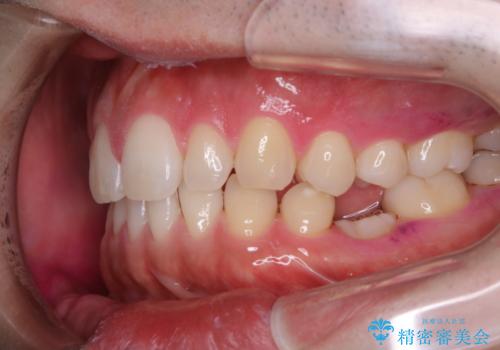
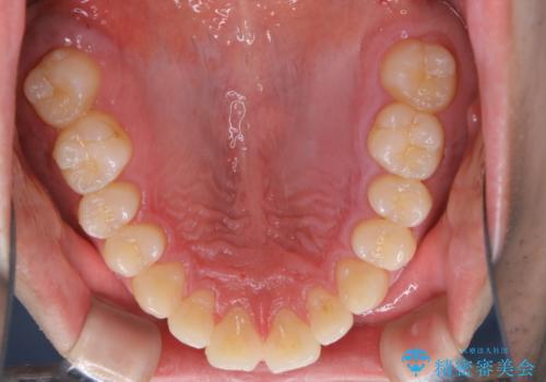
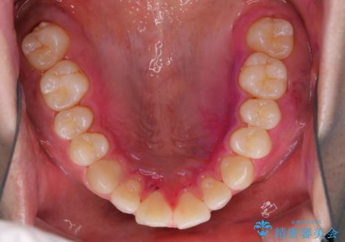
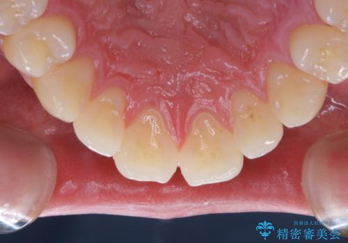
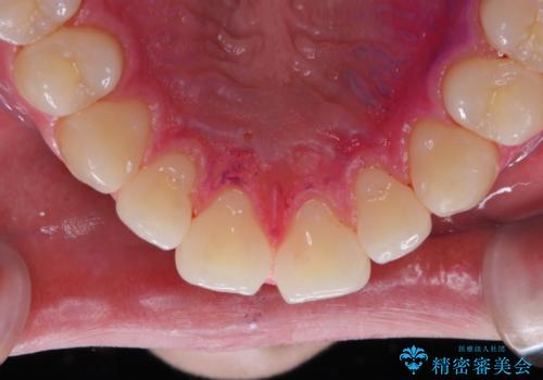
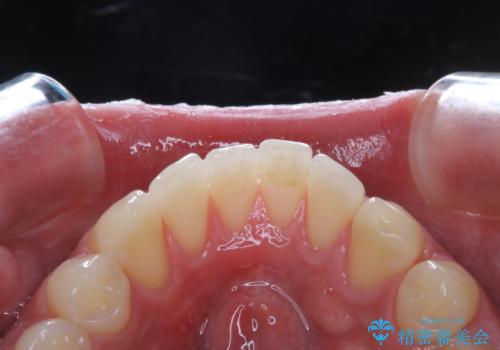
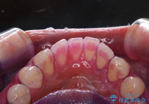
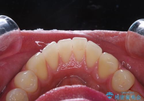
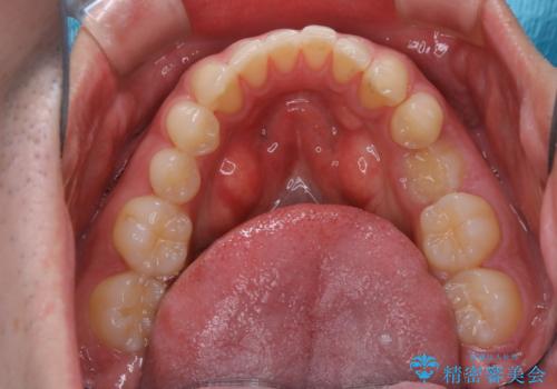
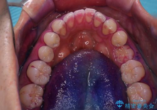
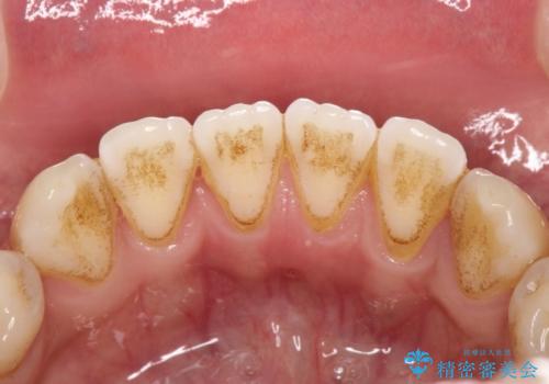
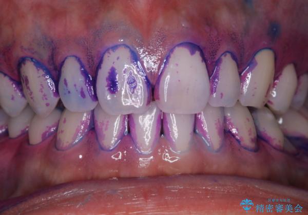
- 親知らずの抜歯後の約1週間後に抜糸(縫った部分の糸とり)で来院されました。その際、抜歯後は傷口が怖くて歯磨きが上手くできず、汚れや口臭が気になるためクリーニングも希望されました。
- 費用(概算)
- 5千円+tax費用は治療当時の料金となります
治療について
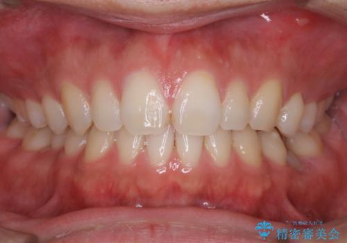
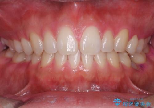
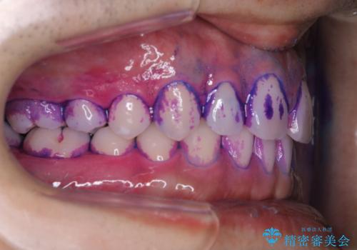
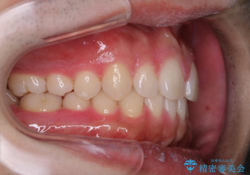
抜歯後は多少出血したり、違和感や痛みを感じたりすることがあります。そのため親知らずを抜いたり、外科的な処置をするといつも通りの歯磨きがしづらくなります。また、傷口の周りが心配で、歯ブラシをするのが怖くなるものです。抜歯後落ち着いたら、歯科医院にて専門の機械を使用しクリーニングをすることがおすすめです。抜歯前や後にPMTCを行うことで、お口の中の健康維持につながり、その後の感染・腫れ・口臭予防などになります。
親知らず抜歯後にクリーニングはいつからできますか?
親知らず抜歯後正常に治癒が進んでいれば1週間後から可能です。
担当
表参道しらゆり歯科 DH西澤
PMTCの注意事項(リスク・副作用など)
- 歯を白くする目的の施術ではありません
- 保険適用外となります
当サイトの内容、テキスト、画像等の無断転載、複製、複写、盗用を固く禁じます。
























