症例詳細
Case detail
歯科衛生士によるPMTCで着色落とし
治療症例の内容
- 診療科目
- 治療カテゴリ
- 患者様
- 30代女性
- 治療期間
- 1日
- 治療回数
- 1回
- 治療計画
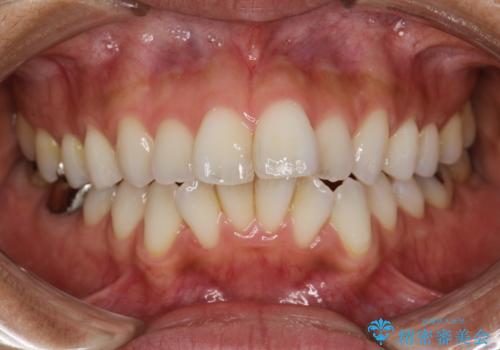
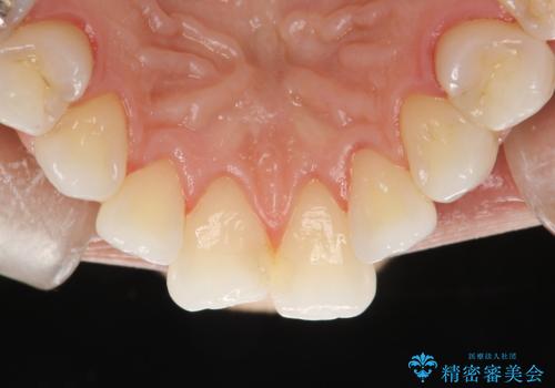
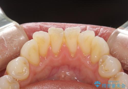
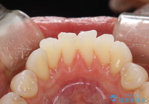
- 歯にこびりついた着色がきになるとのことで来院されました。PMTC60分コースにて着色の除去を行いました。
- 費用(概算)
- 1万円+tax費用は治療当時の料金となります
治療について
PMTCは、毎日の歯磨きで落としきれない汚れや、たばこのヤニ、コーヒー、お茶、紅茶、ワイン、などによる着色を除去します。また、仕上げにはトリートメントを行いますので、歯の表面がツルツルになり舌ざわりがよくなります。施術後は、爽快感でスッキリして気持ちがいいです。
担当
表参道しらゆり歯科 DH西澤
PMTCの注意事項(リスク・副作用など)
- 歯を白くする目的の施術ではありません
- 保険適用外となります
当サイトの内容、テキスト、画像等の無断転載、複製、複写、盗用を固く禁じます。








