症例詳細
Case detail
矯正治療が終わった後にクリーニング PMTC
治療症例の内容
- 診療科目
- 治療カテゴリ
- 患者様
- 20代女性
- 治療期間
- 1日
- 治療回数
- 1回
- 治療計画
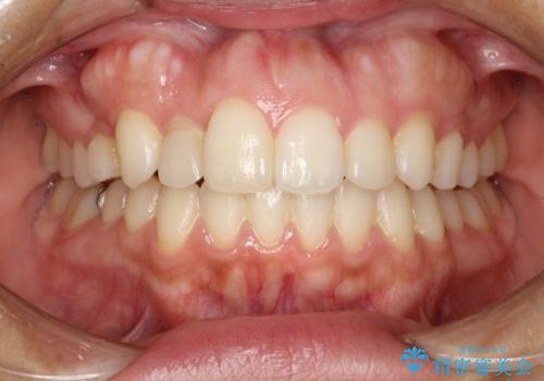
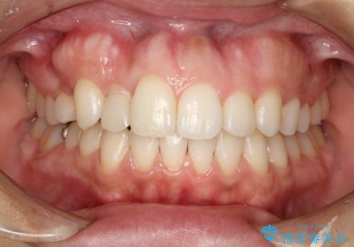
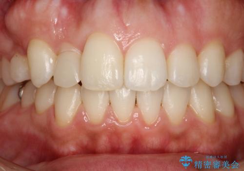
- invisalignでの矯正治療が終了し、その際に全体的クリーニングを希望されました。
- 費用(概算)
- 5千円+tax費用は治療当時の料金となります
治療について
矯正治療が終了した際に、クリーニングを希望される方はたくさんいます。
歯並びがきれいになると、自然と歯に対する意識も上がります。矯正後は、以前よりも笑顔に自信が持てたり、コンプレックスに感じていた部分が解消されたりなどとメリットが多くあります。そのタイミングで、クリーニングを行うと、ツルツル、つややかな歯の表面になりさらに健康なお口の状態となります。
矯正治療の終了時には、ぜひクリーニングを行い、より素敵な笑顔になれるようフォローさせていただきます。
担当歯科衛生士
表参道しらゆり歯科 DH西澤
PMTCの注意事項(リスク・副作用など)
- 歯を白くする目的の施術ではありません
- 保険適用外となります
当サイトの内容、テキスト、画像等の無断転載、複製、複写、盗用を固く禁じます。




